AUTORES: Alejandra Urréjola Ballesteros.- Licenciada en Odontología. Alumna del Doctorado "Investigación en Estomatología". Universidad de Granada. Interna de la Unidad de Patología y Terapéutica Dental. Universidad de Granada. Ayudante clínica de la asignatura de Estética Dental. Cristina Marín Corencia.- Licenciada en Odontología. Alumna del Doctorado "Investigación en Estomatología". Universidad de Granada. Interna de la Unidad de Patología y Terapéutica Dental Universidad de Granada. Ayudante clínica de la asignatura de Estética Dental. Gloria Ruiz Escolano.- Licenciada en Odontología. Alumna del Doctorado "Investigación en Estomatología". Universidad de Granada. Interna de la Unidad de Patología y Terapéutica Dental Universidad de Granada. Ayudante clínica de la asignatura de Estética Dental. Cristina Lucena Martín.- Profesora Titular de Patología y Terapéutica Dental. Universidad de Granada. Rosa Pulgar Encinas.- Profesora Titular de Patología y Terapéutica Dental. Universidad de Granada. José Manuel Navajas Rodríguez de Mondelo.- Catedrático de Patología y Terapéutica Dental Universidad de Granada. Dirección de los autores: José M Navajas Rgz. de Mondelo Dr. Olóriz nº 2 10ºA 18012 Granada Spain jnavajas@ugr.es
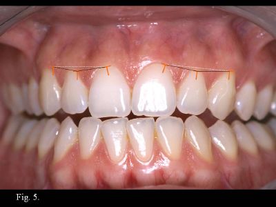
INTRODUCCIÓN: Hoy día, la importancia de nuestro aspecto físico posee un papel relevante en la sociedad en la que vivimos. La estética de la boca y de los dientes contribuye en nuestro aspecto de una manera importante. Cada vez son más los pacientes que acuden a la consulta del "dentista" para resolver no sólo los problemas funcionales, sino también los estéticos. Es por esto, que nuestro estudio trata de analizar las características de los dientes y las encías de una población joven, para ver si coinciden con los parámetros de idealidad. Los dientes y la encía constituyen los dos componentes de la sonrisa que el odontólogo puede modificar para intentar acercar a sus pacientes a lo que sería una sonrisa ideal. Belser 10 propone un listado con una serie de parámetros que determinan una boca saludable y estética. Estos parámetros de una forma resumida son: Parámetros gingivales: -Troneras gingivales16: es el espacio que ocupa la papila gingival. Su presencia da sensación de salud y belleza a la sonrisa -Encía libre16: Constituye la pared anterior del surco gingival. Mide de uno a tres milímetros cuando está sana, pudiendo aumentar de tamaño cuando la encía está hiperplásica o hipertrofiada, alterando la apariencia del diente como consecuencia de una disminución ficticia de la altura de la corona. (Fig. 3). -Encía insertada16: se extiende desde la encía libre hasta el pliegue mucogingival (Fig.3). -Inclinación del cénit gingival16: El punto más apical del rodete gingival de cada diente se conoce con el nombre de "Cénit gingival". Éste, en condiciones normales está desplazado ligeramente hacia distal. Esto se debe a la inclinación radicular, que cambia el punto más alto de la encía a esta posición. (Fig. 4). -Nivel gingival1: La línea que une los cénit gingivales de los distintos dientes, constituye el nivel gingival. Se distinguen dos niveles: El nivel gingival tipo I se da cuando el cénit del reborde gingival en los incisivos laterales está por debajo de la línea que une el de los centrales y caninos (Fig. 5). En el nivel gingival tipo II ocurre lo contrario. El cénit de los laterales está más alto que la unión de los cénit del central y del canino (Fig. 6). -Recesión12,16: Existe recesión gingival cuando la encía se desplaza apicalmente sobrepasando el límite amelocementario (Fig. 7). -Estado de salud gingival16: el estado de salud gingival se valora subjetivamente por la pérdida del punteado gingival (aspecto de piel de naranja), y la presencia o no de sangrado gingival. (Fig. 8). Parámetros dentarios:
-Forma del diente2,4,8,15: -Cuadrada: cuando las líneas angulares de la corona son prácticamente paralelas, el borde incisal es recto y se acompaña de una encía con poca inflexión distal. El ángulo mesioincisal está cercano a los 90º, mientras que el distal es algo más obtuso (Fig. 9). -Triangular: cuando las líneas angulares convergen acentuadamente hacia gingival. El borde incisal es recto y los ángulos mesioincisal y distoincisal son redondeados. La superficie vestibular es poco convexa y el tercio incisal aplanado (Fig. 10). -Oval: cuando presenta forma más o menos de ovoide. Tanto las líneas angulares como la superficie vestibular son muy convexas (Fig. 11).    -Relaciones entre los dientes: Presencia de troneras incisales6,10: La tronera incisal es el espacio triangular formado entre el punto de contacto proximal, el plano oclusal y las caras mesial y distal de los dientes contiguos. Su ubicación es ascendente hacia distal. Es característico de dientes jóvenes, ya que el desgaste natural o patológico del borde incisal, ocasiona la pérdida progresiva de esta característica. Estas troneras pueden usarse para crear efectos ilusorios de cambios de dimensión (Fig. 12).  -Características ópticas: -Translucidez7,13: Se define como la capacidad que tiene un cuerpo de dejar pasar la luz a su través. La translucidez de un diente depende del espesor del tejido, y es mayor en el esmalte que en la dentina. La translucidez permite observar el color reflejado difuso del tejido subyacente (Fig. 13). -Opalescencia6,7,13,17: Cuando la luz de longitud de onda corta del espectro visible llega al esmalte se refracta, dando una tonalidad azul o ámbar al esmalte translúcido que realza la naturalidad y belleza del diente. El tono azulado suele ser característico de dientes jóvenes, mientras que el ámbar suele presentarse en dientes de personas adultas. (Fig. 14).   -Características del tercio incisal de la corona: El tercio incisal de la corona tiene características peculiares por ser la zona donde se organizan el esmalte y la dentina. Podemos encontrar distintas combinaciones de ambos tejidos: -Mamelones dentinarios9,11: Los mamelones dentinarios son proyecciones de la dentina de forma redondeada que desde el tercio medio se insinúan en el incisal más translúcido. Son representativas de los lóbulos de desarrollo embrionario (Fig. 15).

-Infiltraciones de dentina hasta incisal9,11: Si el número de proyecciones dentinarias aumenta, se adelgazan y llegan hasta el borde incisal, se conocen con el nombre de infiltraciones dentinarias. Suelen tener forma pectiniforme (Fig. 16).

-Dientes sin mamelones11: Cuando los mamelones no existen, el límite entre dentina y esmalte se conforma como una línea más o menos redondeada. Observándose claramente el limite amelo dentinario en el tercio incisal (Fig. 17).

-Borde incisal opaco11: En dientes sin abrasión incisal, la unión del esmalte vestibular y el palatino da lugar a una zona lineal menos traslucida que se denomina "borde incisal opaco". Suele tener una tonalidad blanca lechosa (Fig. 18).
-Y por último podemos encontrar dientes totalmente opacos11 donde no podemos observar ninguna de las características mencionadas anteriormente (Fig. 19). También contribuyen al resultado estético dentogingival: La presencia de malposiciones dentarias individuales12 La presencia de apiñamiento dental en el grupo incisivo-canino inferior12 Las desviaciones de la línea media12 y Las discromías dentales5,9,14 (Fig. 20 y 21).
OBJETIVO: El objetivo de este estudio ha sido analizar las características dentarias y gingivales en un grupo de cien alumnos de segundo ciclo de la licenciatura de Odontología de la Universidad de Granada. MATERIAL Y MÉTODO: MATERIAL: Hemos utilizado el siguiente: Separador de labios de separación total Cámara de fotografía SONY ALFA 100 REFLEX con objetivo macro de 100mm y apertura F10 (Fig.1). Trípode para la cámara Ordenador personal, para el tratamiento de los resultados. MÉTODO: Para realizar el estudio hemos seleccionado al azar a cien alumnos de 3º, 4º y 5º curso de la Facultad de Odontología de Granada. El grupo estaba constituido por 69 mujeres y 31 hombres, siendo la edad media de 21 años (edades comprendidas entre 19 y 23 años). Se realizaron fotografías del frente anterior en posición dentaria de borde a borde, utilizando un abrebocas y con el paciente sentado y la cabeza apoyada, a distancia fija y con trípode (Fig. 1). Los parámetros que hemos analizado en este estudio son los siguientes:
Parámetros gingivales: Tronera gingival: Hemos valorado si la papila se encontraba ocupando la tronera gingival o por el contrario, ésta se encontraba vacía. Inclinación de cenit gingival: Observamos los cénit gingivales del grupo anterior. Distinguimos en dos grupos: los que los tenían desplazados hacia distal y los que no los tenían. Nivel gingival: Catalogamos a los alumnos en dos grupos, un grupo compuesto por los individuos que poseen el nivel gingival tipo I y el otro grupo, por los que tienen el nivel gingival tipo II. Recesión gingival: Hemos analizado la presencia o no de recesión gingival, considerando que está presente cuando la encía se sitúa apicalmente con respecto al límite amelocementario. Estado de salud gingival: Se valoró subjetivamente en función de la pérdida o no del punteado gingival (aspecto de piel de naranja), del color rosado y por la presencia o no de sangrado gingival. Parámetros dentarios:
Forma dentaria: Separamos los individuos por sexo en dos grupos y distinguimos dentro de cada grupo si presentaban dientes cuadrados, triangulares u ovales. Troneras incisales: Estudiamos el desgaste dental de los alumnos observando si presentaban o no dichas troneras gingivales. Opalescencia: Dentro de la opalescencia estudiamos si se presentaba o no, y diferenciamos si era de tonalidad azul, ámbar o azul y ámbar. Efectos dentinarios: Dividimos por sexos el grupo y analizamos si presentaban mamelones dentinarios, infiltraciones hasta incisal, o bien la dentina presentaba una terminación recta o los dientes eran totalmente opacos. Malposición dentaria: Contemplamos la presencia o no de este parámetro. Apiñamiento inferior: Valoramos la presencia o ausencia del apiñamiento dental del grupo incisivo-canino inferior. Si el alumno presentaba apiñamiento, anotamos si éste se desviaba hacia la derecha del sujeto o bien hacia la izquierda. Desviación de la línea media dentaria: la desviación de la línea media la analizamos mediante la fotografía en posición de borde a borde estudiando si coincidía la línea media del maxilar con la de la mandíbula. Discromías dentales: Valoramos la presencia o ausencia de cualquier tipo de alteración en el color del diente. La medida de los parámetros se hizo independientemente por los autores, previo consenso de valoración, y se traspasaron a una hoja de cálculo Microsoft EXCEL, para su estudio estadístico. RESULTADOS: Se obtuvieron los siguientes resultados descriptivos, que citamos a continuación en relación a cada uno de los parámetros estudiados: Parámetros gingivales: Tronera gingival: En el 99% de los casos, las troneras estaban ocupadas por la papila gingival, sólo un caso presentaba la tronera vacía. Se trataba de un alumno con enfermedad periodontal. Encía insertada: El 77% de los alumnos tenían sus encías de color rosado, con punteado típico de piel de naranja, mientras que en el 23% restante se apreciaba una encía lisa que generalmente estaba acompañada de una leve inflamación gingival. Inclinación del cénit gingival: Tan sólo en un 21% de los casos no pudimos apreciar esta característica. El 79% de los restantes presentaban la inclinación del cénit hacia distal. Nivel gingival: El nivel gingival más frecuente entre los alumnos, con un 78% de los casos, fue del tipo I. El resto fue catalogado como de tipo II. Recesión gingival: Un 19% de los casos presentan recesión, la mayoría localizada a nivel de los caninos. Estado de salud gingival: El 77% presentaba buena salud gingival. El 23% restante presentaban desde leve gingivitis marginal hasta un caso de periodontitis. Parámetros dentarios: Forma dentaria: Figura 22 Hombres: El 25.8% tenían forma dentaria cuadrada El 38.7% forma triangular y El 35.4% forma oval Mujeres: El 37.7% tenían forma dentaria cuadrada El 21.7% forma triangular y El 40.6% forma oval. Tronera incisal: El 96% de los estudiantes tenían troneras incisales, frente a un 4% que no las presentaban. Opalescencia: Un 32% tienen los dientes opacos, mientras que el 68% restante presentan opalescencia, siendo la más común la azul con un 53%, seguida de un 8% con opalescencia azul y ámbar, y un 7% sólo ámbar. Efectos dentinarios: Figura 23 Mujeres: El 26.1% presentaban mamelones dentinarios El 26.1% presentaban infiltraciones hasta incisal El 23.2% presentaban una terminación recta El 24.6% presentaban unos dientes totalmente opacos Hombres: El 6.5% presentaban mamelones dentinarios El 19.4% presentaban infiltraciones hasta incisal El 25.8% presentaban una terminación recta El 48.3% presentaban unos dientes totalmente opacos. Malposición dentaria: El 31% tiene sus dientes mal posicionados frente a un 69% que los presenta alineados. Apiñamiento inferior: El 76% no tiene apiñamiento. 24% sí lo presenta y de estos un 8% tiene el eje coronas inclinadas hacia la derecha, y un 16% hacia la izquierda. Desviación de la línea media dentaria: El 53% sí presenta desviación de la línea media. Discromías dentales: El 38% tiene discromías dentales, tales como fluorosis, o hipoplasias de esmalte. DISCUSIÓN: La participación de los alumnos fue libre y entusiasta, y muy pocos alumnos declinaron participar en la encuesta. La mayoría de los alumnos tenían una buena salud periodontal (77%). Nos llama la atención que 23 alumnos presentaran afectación gingival e incluso periodontal. Nos parece un porcentaje demasiado alto, tratándose de alumnos de 2º ciclo de la licenciatura de Odontología, donde se hace tanto hincapié en las normas de higiene dental y control de placa.
Nos parece interesante resaltar el alto porcentaje de alumnos con recesión gingival (19%), generalmente localizada en los caninos. Este dato coincidía con el hecho de que el alumno se hubiera realizado un tratamiento ortodóncico previo, y como no era motivo de este estudio la investigación específica de este hecho, no podemos asegurar una relación causa efecto.
En cuanto a la forma dentaria, es interesante observar que en contra de lo esperado, hay más hombres en nuestro estudio con dientes ovales (35.4%) y triangulares (38.7%) que cuadrados (25.8%), forma que clásicamente se suele atribuir más a este sexo. Dentro del grupo de las mujeres, encontramos que la forma que más predominaba era la oval (40.6%), coincidiendo con lo previsto, aunque sin mucha diferencia con respecto a dientes cuadrados (37.7%). La forma menos predominante en la mujer era la triangular, en un porcentaje más reducido (21.7%). Esto demuestra que no podemos asociar la forma y el tamaño de los dientes como característico de un sexo u otro, sino que tenemos que buscar la armonía de los rasgos faciales y dentarios3,10,12. . En relación a esto, Abrams11 en 1981, realizó una encuesta en la reunión anual de la Academia Americana de Odontología Estética donde mostró imágenes de dientes de 60 pacientes vistos de perfil y de frente con separador de labios, de manera que los asistentes no podían saber el sexo de los pacientes. A los 150 odontólogos que participaron en la prueba, se les dio 5 segundos para determinar si se trataba de un hombre o una mujer. Sólo un participante acertó más del 50% de las veces.
En cuanto a las troneras incisales éstas están bien marcadas, tengamos presente la edad media de la muestra (22 años), edad que no es suficiente para poner de manifiesto un desgaste incisal detectable.
En cuanto a la opalescencia, los resultados indican que la tonalidad azul es la más predominante en nuestra muestra. En nuestra opinión aunque existen ciertas confusiones al explicar el fenómeno de la opalescencia dentaria, creemos que el mismo se debe a la refracción de la luz sobre los cristales de hidroxiapatita que constituyen los prismas del esmalte. Estos cristales hexagonales tienen un tamaño menor o igual al de la longitud de onda azul (490 nm) de la luz incidente. Esta, al llegar al esmalte, cede parte de su energía que se difunde en forma de onda electromagnética al entorno y en cualquier dirección. La difusión será mayor por tanto, para las ondas más cortas (azules y violetas) y como consecuencia de ello, la luz azul es la más difundida y la menos, la roja. Por lo tanto, la opalescencia azul es típica de esmaltes gruesos porque tienen mayor número de prismas y en consecuencia de cristalitos de hidroxiapatita que puedan difundir la luz de baja longitud de onda, estos esmaltes son más frecuentes en los dientes de los jóvenes, mientras que la opalescencia ámbar lo es de esmaltes finos, desgastados y envejecidos donde las ondas de longitud mayor (rojo-amarillentas), se refractan más rectilíneamente y con mayor facilidad (Fig.14).
Es curioso observar la variabilidad homogénea de los efectos dentinarios en las mujeres. Sólo un 24.6% tenían sus dientes opacos frente al 75.4% donde se apreciaban los distintos efectos dentinarios descritos anteriormente. En cambio en los hombres lo más frecuente es que los dientes fueran opacos. Esto puede indicar, tal vez, una mayor translucidez en el esmalte de los dientes femeninos, o bien que los dientes de los varones, por circunstancias que se escapan a los objetivos de este estudio estuviesen mas abrasionados, o realmente fuera menos translúcidos.
Con respecto al apiñamiento inferior, aunque no podemos argumentar por qué ocurre este hecho, el doble de los casos donde se presenta tiene la desviación de las coronas de los dientes inferiores hacia la izquierda.
CONCLUSIONES:
1. Dado que se trata de un estudio descriptivo, no podemos extraer diferencias estadísticamente significativas. 2. La mayoría de los casos se alejan de la descripción de "sonrisa dentaria ideal." 3. Dada la cualidad de la población estudiada (estudiantes de odontología), nos llama la atención el porcentaje de casos con inflamación gingival. 4. Los cambios de la translucidez dentaria son más patentes cuanto mayor es la edad de los alumnos estudiados. BIBLIOGRAFÍA RECOMENDADA:
1. Stefanello Busato AL, González Hernández PA, Prates Macedo R: Odontología restauradora y estética. Ed. Amolca, 2005. 2. Gilberto Henostroza H: Estética en odontología restauradora. Ed. Ripano S.A., DL., 2006. 3. Baratiere LN: Estética. Restauraciones adhesivas directas en dientes anteriores fracturados. Ed. Amolca, Santos, 2004. 4. Adolfi D: Estética natural. Ed. Quintessence, 2004. 5. Anitua Aldecoa E, Gascón Mayordomo F.: Soluciones estéticas en dientes con decoloraciones. Puesta al día publicaciones S.L., 1992. 6. Kenneth W Aschheim, Barry G Dale: Odontología estética. Una aproximación clínica a las técnicas y los materiales. Ed. Harcourt, 2002. 7. Marques S: Estética con resinas compuestas en dientes anteriores. Percepción, arte y naturalidad. Ed. Amolca, 2006. 8. Massironi D, Pascetta R, Romeo G: Precision in dental esthetic. Clinical and laboratory procedures. Quintessenza, 2007. 9. Baum LL, Phillips RW, Lund MR,: Tratado de operatoria dental. Mc Graw-Hill Interamericana. 1996. 10. Magne P, Belser U: Restauraciones de porcelana adherida en los dientes anteriores. Método biomimético. Quintessence, 2004. 11. Goldstein RE, Odontología estética. Volumen 1: Principios, comunicación, métodos terapéuticos. Ed. Ars Medica, 2002. 12. Goldstein RE, Odontología estética. Volumen 2: Problemas estéticos relacionados con: dientes aislados, ausencia de dientes, maloclusión y pacientes especiales. Ed. Ars Medica, 2002. 13. Mallat Desplats E, Mallat Callís E: Fundamentos de la estética dental en el grupo anterior. Quintessence, 2001. 14. Miyashita E, Salazar Fonseca A: Artes medicas, 2005. 15. Vanini L, Mangani F, Klimovskaia O: Conservative restoration of anterior teeth. ACME, 2007. 16. Herbert F. Wolf, Edith M, Klaus H, Rateitschak : Periodoncia. Ed. Masson, S.A., 2005. 17. http://www.clinicaeco.com/blog/wp-content/uploads/2008/05/el-blanqueamiento-dental-estado-de-la-cuestion.pdf
|