IMPLANTES INMEDIATOS POST EXTRACCIÓN CON REPOSICIÓN DE LA ESTÉTICA José Manuel Navajas Rodríguez de Mondelo Catedrático del Departamento de Estomatología. Universidad de Granada Rosa Mª Pulgar Encinas P rofesora Titular del Departamento de Estomatología. Universidad de Granada José Manuel Navajas Nieto Odontólogo. Master en Implantología por la Universidad Complutense de Madrid. Master en Cirugía Oral por la Universidad de Granada. Cristina Lucena Martín Profesora Titular del Departamento de Estomatología. Universidad de Granada Cristina Navajas Nieto Odontóloga. Título de “Experto” en Periodoncia por la Universidad de Granada Correspondencia: Dr. José M. Navajas Rodríguez de Mondelo Avd. del Dr. Oloriz 2. 10 ª 18012 Granada España e-mail: jnavajas@ugr.es Resumen: Se hace un estudio del estado actual del conocimiento sobre los implantes inmediatos en alvéolos frescos después de la exodoncia. Se justifica la elección, por los autores, del implante de cuerpo único Q Trinon R y se presentan casos clínicos con aproximadamente 5 años de seguimiento. Palabras Clave: Implantes inmediatos postextracción. Estética inmediata postextracción. Implantes Q Trinon INTRODUCCIÓN La colocación de un implante endoóseo, hoy día, es la técnica de elección para la reposición protética de los dientes perdidos cualquiera que sea la causa de la pérdida.[1] [2] Tradicionalmente los protocolos de reposición aconsejados requerían dos etapas: una inicial para conseguir la oseo-integración y otra, protética, para la reposición de los dientes. Esta secuencia de tratamiento, requiere un tiempo de espera que, funcionalmente se soluciona con prótesis removible, que supone una incomodidad para el paciente, o con fija provisional adherida que incrementa los costes. La evidencia científica ha puesto de manifiesto que la carga inmediata del implante es un procedimiento válido y de éxito predecible siempre que se den las condiciones anatomo-funcionales que lo indiquen.[3],[4] [5] La colocación del implante en alvéolos dentarios inmediatamente después de la extracción, ha sido utilizada desde los comienzos de la implantología. Si bien el protocolo en dos etapas ha sido tradicionalmente el aconsejado, hoy día los requerimientos estéticos de los pacientes inducen a los clínicos a la carga e estética inmediata del implante transalveolar. .[6],[7] [8] [9] [10] [11] [12] En este artículo, los autores proponen una variante de la técnica convencional mostrando los resultados de esta propuesta en casos clínicos con 5 años de seguimiento Indicaciones y Contraindicaciones El implante transalveolar inmediato (postextracción) se indica fundamentalmente en perdidas dentarias del sector anterior por traumatismos accidentales o fracturas coronarias o radiculares en dientes endodonciados sin patología infecciosa activa. También en las reabsorciones cemento dentinarias o dentinarias internas, y en la enfermedad periodontal avanzada siempre que el remanente óseo sea suficiente para la estabilización del implante y donde la reposición de la estética sea fundamental. Son contraindicaciones: - La diabetes incontrolada
- Los trastornos de coagulación
- La alergia a cualquier material de uso
- La infección aguda
- El tabaquismo grave (gran fumador)
- La drogadicción
- El bruxismo
- La Imposibilidad de estabilización apical del implante
Se utilizan fundamentalmente en la zona incisiva-canina y en el grupo premolar. La elección del implante Todos los tipos de implante disponibles en el mercado han sido utilizados, antes o después, como implante inmediato transalveolar. Los implantes de dos cuerpos (implante + pilar transepitelial), generalmente se utilizan en dos etapas: a) Implantación transalveolar b) Reposición protésica y carga del implante pasadas, al menos, de 6 a 8 semanas desde su colocación. Más recientemente estos implantes también se han cargado con una corona provisional, pero el procedimiento es engorroso pues requiere la toma de impresión en el acto operatorio, la elección o colado de un pilar, la fabricación de la corona y el cementado pasadas al menos 24 horas de la implantación. El implante de elección, por tanto, en aquellos casos en los que se requiera la restitución protésica inmediata, será, sin duda el implante de cuerpo único, en el que el pilar y el cuerpo del implante constituyen una sola pieza. Esto hace posible la colocación de la corona provisional en el mismo acto operatorio, sin dificultad. Entre sus ventajas caben destacar: - Mayor resistencia
- Transmisión axial de fuerzas
- Gran estabilidad primaria
- Posibilidad de carga inmediata
- Posibilidad de estética inmediata
- Posibilidad de acondicionar un perfil de emergencia adecuado
- Imposibilidad de colonización bacteriana entre implante y pilar externo: no se produce microfiltración en la zona del gap.
- Y menor coste, al no necesitar aditamentos especiales para la reposición de la corona
Este tipo de implantes, también presenta algunas desventajas: - La dificultad de angulación del pilar.
- La dificultad de recuperar prótesis deterioradas
- La dificultad de colocación de prótesis removibles retenidas por estos implantes. No obstante, es posible también hacerlo mediante coronas telescópicas y, recientemente, hay implantes de un solo cuerpo con posibilidad de atornillar al pilar del mismo.
Casi todos los fabricantes (Fig. 1), disponen de implantes de un solo cuerpo; a modo de ejemplo:  | | Fig.1: Diversos diseños de implantes de cuerpo único. |
Nobel BiocareR: oferta el Nobel Direct, el Nobel Direct Posterior y Nobel Active StraummanR: Esta casa dispone de un implante de un solo cuerpo, el Monotype de 8º y, aunque lo preconiza para prótesis de barra, también puede utilizarse por su diseño de rosca como implante transalveolar LifecoreR: Dispone de un implante cónico denominado Prima Solo, autoroscante y un pilar de color oro para mejorar el aspecto estético. Apha-bio ImplantsR : Ofrece un implante de cuerpo único denominado ARRP, disponible en varios diámetros Zimmer dentalR: Últimamente oferta un implante para carga inmediata de una sola pieza Trinon DentalR: Dispone de su probado implante Q, para carga inmediata Nuestra elección para esta técnica ha sido el implante Q de TrinonR [13] (Fig. 2) Este implante, de un cuerpo, tiene un diseño cónico, con una espiral ancha de bordes romos y una zona acanalada que permite el autoroscado y la condensación de hueso entre las espiras. Su extremo apical termina en una punta roma, que facilita la inserción. Presenta un cuello pulido de 2 o 4mm de altura y un pilar cónico con una convergencia de 8 grados con cuatro ranuras que sirven para su inserción y para evitar la rotación de las coronas cuando reponen un diente único. El diseño cónico del implante, simulando una raíz dentaria natural, permite, como demostraron Shi y cols.,[14] una distribución más homogénea de las fuerzas, tanto axiales como tangenciales, disminuyendo el stress en la zona de unión entre el hueso y el implante.  | |  | | Fig. 2: Implante Q Trinon R de cuerpo único y cuello pulido de 2mm de altura. Obsérvese: a) El espacio entre espiras; b) La zona acanalada; c) La punta roma; d) El tratamiento de la superficie; e) La escotadura tras la zona pulida que permite minimizar las tensiones en la zona cortical (entre flechas). Su diseño cónico y el espacio entre espiras optimizan la distribución de las fuerzas masticatorias. | | Fig.- 2 bis.- Imagen con microscopio electrónico de barrido de la superficie del implante. a).- Véase el contorno romo de las espiras para liberar tensiones. b).- Imagen a 1000 X del aspecto rugoso de la superficie del implante. (el diámetro de las oquedades varía entre 1 y 4 micras). |
La superficie está grabada al ácido y chorreada con óxido de aluminio. (Fig.2 bis). Está fabricado en titanio comercialmente puro (aleación de titanio, aluminio y vanadio) y se fabrica en tres grosores a nivel del cuello, de 3,5mm ,4.5mm y en 5,5mm y en longitudes de 8, 10,12, 14 y 16mm. El implante se inserta primero a mano o con motor, a muy bajas revoluciones y, posteriormente, mediante una carraca manual que, con un octavo de vuelta, permite controlar la inserción del implante, la condensación ósea a su alrededor y la modificación del eje de inserción en el acto operatorio para adaptarlo a la posición optima y conseguir la estética deseada. Dadas las características de su diseño, puede actuar como un osteotomo, por lo que el de 3.5mm puede colocarse en crestas muy finas, sin necesidad de otras cirugías, consiguiéndose una estabilidad primaria excepcional. La cirugía de inserción requiere la utilización de solo dos fresas cónicas para el implante de 3.5mm. y de tres para el de 4.5 mm. El diseño cónico del alveolo quirúrgico y su reducido tamaño hace que el ahorro de hueso sea importante, minimizándose el stress y la temperatura del corte.
Como en todos los implantes de titanio, se produce el fenómeno de la oseointegración. Dada su gran estabilidad primaria, se observa gran cantidad de hueso laminar en unión íntima sobre la superficie tratada del implante (Fig.3)  | | Fig. 3: Imagen con Microscopio Electrónico Ambiental, de un corte transversal de un implante Q TrinonR rescatado. Obsérvese: a) Superficie del implante; b) Unión íntima implante-hueso; c) Hueso compacto laminar; d) Trabécula ósea; e) Osteoplasto. |
Condiciones de la exodoncia previa al implante transalveolar inmediato El éxito del implante transalveolar y la consecución de una estética favorable se basan, en gran manera, en dos condicionamientos fundamentales: la integridad ósea alveolar y la ausencia de infección. Son necesarios, pues, que se cumplan una serie de requisitos en el acto de la exodoncia, para que sea minimamente traumática sobre los tejidos receptores a fin de asegurar el éxito del implante tanto desde un punto de vista funcional como estético. Por este motivo se recomienda: - .La anestesia debe ser loco regional o infiltrativa, nunca intraligamentosa, por la isquemia alveolar que provoca.
- Ha de hacerse una desinserción cuidadosa de las fibras periodontales circulares, utilizando un periostotomo u hoja de bisturí 12B.
- La ampliación del espacio del ligamento a nivel del cuello dentario, es muy útil antes de la luxación. Para ello, la utilización de ultrasonidos con aditamentos especiales (como los utilizados por el PiezosurgeryR, de Mectron) ayudan a preservar la integridad ósea alveolar.
- Hay que hacer una luxación cuidadosa de la raíz, utilizando botadores nuevos con presión axial y sin apoyarse en las paredes de la cortical alveolar vestibular ni en las zonas mesial y distal. Téngase en cuenta que la presencia de soporte óseo lateral condiciona la integridad de las papilas.
- Evitar la elevación de colgajos de espesor total. La elevación de colgajos provoca una isquemia ósea importante, dado que la irrigación de la cortical se hace a través del periostio. Esta, puede provocar la pérdida de la cortical vestibular y poner en peligro la integración del implante (Figs. 4-5)
| | Figs. 4 y 5: Exodoncia incorrecta de un resto radicular con exposición de la cortical e implante inmediato en dos fases. Obsérvese la exposición del implante durante el periodo de integración por pérdida de la cortical vestibular. |
Técnica de inserción del implante Han de existir, al menos, de tres a cuatro milímetros de hueso en la zona apical del alveolo fresco para que el implante mantenga una fijación adecuada. Zonas de fijación apical mayores son más favorables, dado que permiten una mayor estabilidad primaria. Por esto, los fabricantes ponen a disposición de los profesionales implantes con longitudes de 16 e, incluso, de 18mm. Una vez realizada la exodoncia, con sumo cuidado para no lesionar la cresta alveolar ni la zona papilar, procedemos al legrado cuidadoso de todo el alveolo para eliminar posibles restos de tejido de granulación. Es muy conveniente provocar una pequeña hemorragia del mismo, pues favorecerá la cicatrización.  | |  | | Fig. 6: Esquema de un implante Q TrinonR de inserción transalveolar inmediata. Se esquematiza la estabilidad apical y el espacio sin contacto óseo. | | Fig. 7: Esquema de adecuación del implante al tamaño del alveolo post-extracción |
El implante ha de quedar fijo al menos con una fuerza de inserción de 60 Newton cm2 (Fig.6). Dependiendo del diente extraído se elige el implante a colocar: en general, los incisivos centrales y los caninos requieren implantes de 4.5mm, mientras que los implantes de 3,5 mm se usan más para los incisivos inferiores y laterales superiores (Fig. 7).  | | Figs. 8 y 9: Resto radicular con reabsorción dentinaria interna y el implante elegido (Trinon QR de 4.5 por 12mm) traspasando el ápice alveolar 4 mm. Obsérvese cómo las espiras del implante quedan ancladas en la cortical del alveolo debido a su diseño cónico y a la amplitud de las mismas. |
La longitud del implante está condicionada por la necesidad de estabilizarlo, para lo que se requieren, como hemos dicho, al menos 4mm de hueso disponible entre la zona apical del alvéolo y los limitantes anatómicos. (Figs 8 y 9). Los implantes de 3.5mm necesitan mayor longitud de estabilización que los de diámetro mayor. La colocación comienza con la utilización de la fresa piloto en el fondo alveolar que perfora la cortical del alveolo en esta zona. Con ésta se inicia la realización del lecho del implante, teniendo cuidado de que esté centrado dentro del mismo y lo más equidistante de las paredes mesial y distal del alvéolo del diente extraído. Dada la gran conicidad del diseño de este implante no es necesario, en la mayoría de los casos, apoyarse en la pared palatina, como es conveniente con los implantes cilíndricos. | |  | | Fig. 10: La fresa puede cambiarse de dirección si se cree conveniente. | | Fig.11: Preparación con la fresa acanalada de irrigación interna. Préstese atención a la inclinación vestíbulo palatina de la misma, el centrado y el paralelismo con los dientes vecinos. |
Cuando los requerimientos estéticos o anatómicos así lo requieran, es posible cambiar la dirección del lecho del implante (Fig.10). Posteriormente se pasan las fresas de irrigación interna del tamaño adecuado al implante elegido. El implante se inserta primero a mano, dada la gran capacidad de auto roscado del mismo, pudiendo corregirse su posición si fuese necesario (Fig.12). Cuando se requiere más fuerza, se utiliza la carraca de inserción. Ésta tiene un diseño especial que permite una fijación atraumática del cuerpo del implante (Fig.13). | |  | | Fig. 12: Colocación manual del implante. La perfecta alineación con los dientes vecinos, permite una excelente estética sin problemas. Obsérvese la gran conicidad del implante, que lo hace utilísimo dadas las características anatómicas del alvéolo. | | Fig. 13: Las últimas vueltas del roscado se hacen con una carraca manual. Ésta, está diseñada de forma que en cada octavo de vuelta que se rosca el implante, hay que retirar el mango y volver a introducirlo, lo que da la posibilidad de que el estrés sobre el hueso disminuya. Obsérvese el eje de inserción y el diseño de la carraca. | | | | |  | | | | Fig. 14: En esta radiografía se muestra perfectamente la zona del implante que ha de quedar cubierta por hueso y la zona pulida junto a los tejidos blandos. | | |
El implante se introduce en el alvéolo hasta que la parte no pulida del mismo quede completamente cubierta por el hueso. La parte pulida, contacta con los tejidos blandos y contribuirá a conseguir, junto con la corona provisional un espacio biológico adecuado, un buen perfil de emergencia y una alta estética (Fig. 14). El espacio libre que queda entre el implante y el alvéolo, dadas las características cónicas del implante, son mínimas. Se ha demostrado que no es necesario rellenar este espacio para que el gran potencial de cicatrización del alveolo lo cierre con nuevo hueso. No obstante, se puede, en caso de gran discrepancia, colocar un xenoinjerto junto con plasma rico en factores de crecimiento y coágulo de fibrina. Es más útil esta técnica en caso de implantes transalveolares en la zona de premolares, donde, si se tienen dos alvéolos, se facilita la cicatrización[15]. Si se humedece el implante en plasma rico en factores de crecimiento, puede conseguirse una superficie activa en el implante que facilita la integración ósea. (Figs. 15 y 16).  | |  | | Fig.15: Alvéolo de un primer premolar superior con dos raíces. Al insertar el implante, la discrepancia entre paredes óseas y el implante será grande, por lo que es conveniente rellenarla con un injerto. | | Fig. 16: Mezcla de xenoinjerto (Bio-Oss GeistlichnBiomaterials) y plasma rico en factores de crecimiento, en el caso anterior, antes de colocar el implante. |
Fabricación de la corona provisional La corona provisional juega un importantísimo papel en el éxito de este tipo de tratamiento porque: 1. Restablece la estética inmediatamente, que es uno de los requerimientos fundamentales de los pacientes. 2. Facilita la curación de los tejidos blandos y… 3. Es fundamental para condicionar el perfil de emergencia y la formación de las papilas gingivales.  | | Fig.17: Representación esquemática de un implante Q TrinonR con el alvéolo y los tejidos blandos, comparados con el diente | Cuando colocamos un implante, la relación de los tejidos blandos con el mismo es similar al diente con su periodonto. La parte ósea se integra en la zona tratada (rugosa) del implante. El conjuntivo se adapta a la zona pulida así como una pequeña porción de inserción epitelial y el resto de la encía se conforma en función de la corona artificial que coloquemos, creando el perfil de emergencia adecuado (Fig.17). Las dos diferencias que existen en relación al diente natural son: que las fibras del conjuntivo se unen a la cresta ósea y que los vasos que irrigan la parte interna del perfil de emergencia se sitúan verticalmente, pues proceden del periostio, a diferencia del diente natural que lo hace en forma de plexo circular (Figs. 18 y 19).
Tarnow y cols[16], demostraron que, tras la inserción del pilar en los implantes de dos piezas, se producía una remodelación ósea con perdida de 1,5 a 2mm por debajo del hombro y, además, se inducía una perdida de aproximadamente 1,3mm en forma crateriforme. Grunder y cols[17] aseguran que se necesitan, al menos, 2mm de hueso medidos lateralmente para soportar el perfil gingival. La ausencia de “gap” entre implante y pilar, en los implantes Q TrinonR, dificulta la colonización bacteriana, lo que unido a que tras la zona pulida aparece la concavidad de la primera espira, hace que estos implantes no presenten, en general, pérdida de hueso, dado que dicha concavidad evita el stress en el hueso de la cresta alveolar (Fig. 2 y 2 bis).  | |  | | Fig. 18: Implante Q Trinon R antes de colocar la corona definitiva. Obsérvese: el perfil de emergencia, el exudado fisiológico procedente de la zona del cuello pulido, la red vascular vertical y el estado general de salud. | | Fig. 19: El caso anterior con la corona definitiva colocada. |
En los implantes de dos cuerpos (implante y pilar), se trata de evitar la pérdida ósea tratando de eliminar el micromovimiento del pilar, disminuyendo el gap o utilizando un pilar de diámetro menor que la plataforma del implante[18]. Procedimiento de adaptación de la corona provisional Antes de la realización de la exodoncia, se toman unas impresiones del paciente con alginato. El protésico corta, en los modelos obtenidos, el diente que va a ser extraído y fabrica una corona de acrílico algo sobredimensionada y ahuecada en su interior, con el color y características estéticas indicadas por el odontólogo. Cuanto más pulida y estética sea la corona provisional, mejor serán los resultados que se obtienen. La corona así fabricada se adapta con material plástico para puentes y coronas provisionales sobre el pilar del implante, teniendo cuidado en retirar los excesos de material. Una vez fraguado el material de rebase se pule cuidadosamente con discos y gomas de pulir composites, siendo muy útil, para hacer esto, colocar la corona sobre una replica del implante. El grado de pulido conseguido condiciona el éxito en la curación de los tejidos blandos y la obtención de un perfil de emergencia como el que se observa en la figura 18. Pasadas 8 semanas, se toma impresión del pilar del implante y se confecciona la corona definitiva. CASOS CLÍNICOS Caso nº 1 Paciente de 53 años de edad, mujer, que acude a nuestra clínica con fractura radicular de 23 y fístula activa dos milímetros por encima del rodete gingival. La exploración clínica pone de manifiesto movilidad de la corona y normalidad en la exploración del surco gingival. Radiográficamente, presenta una endodoncia bien obturada y un perno cónico en forma de tornillo que no sobrepasa el tercio coronal de la raíz. Se aprecia una fractura horizontal a nivel del extremo del perno. Diagnóstico: Fractura radicular horizontal sin compromiso infeccioso apical. (Fig. 20). Plan de tratamiento: Exodoncia y reposición protética inmediata con implante transalveolar. En el mismo acto de la exploración se toman unas impresiones con alginato que, una vez vaciadas, se envían al laboratorio de prótesis dental. Nos fabrican dos prótesis: Una corona de acrílico de color y forma similar al diente a extraer y una prótesis parcial removible. Es importante en estos casos de implantación inmediata postextracción disponer de una prótesis parcial removible que nos permita restituir la estética en el caso de que, durante la exodoncia, se decida posponer la implantación. Se realiza la exodoncia de la corona y del resto radicular cuidando no deteriorar las estructuras óseas alveolares, tal y como se ha indicado anteriormente. La exploración del interior del alveolo con un instrumento de punta roma nos asegura la integridad ósea del mismo por vestibular. Se legra el alveolo y se coloca un implante Q TrinonR de 4.5mm de grosor, 14mm de longitud y 2mm de cuello pulido, cuidando que la zona rugosa del implante quede completamente cubierta por el hueso del alvéolo (Fig. 21). La discrepancia alveolo-implante se rellenó con coágulo de plasma rico en factores de crecimiento. Las figuras 22,23, 24 y 25 muestran el proceso clínico y su evolución y la 25bis, el caso después de casi cinco años desde el inicio del tratamiento.  | |  | | Fig. 20: Aspecto de la zona del 23. Fístula activa a 2mm del surco gingival. | | Fig. 21: Implante Q TrinonR recién insertado. Obsérvese el pilar con toda la zona pulida subgingival, la orientación y la equidistancia de los dientes vecinos. Obsérvese, igualmente, la integridad de las papilas gingivales y parte de un coágulo de fibrina del PRFC que se colocó durante la implantación. | | | | |  | |  | | Fig. 22: La corona acrílica provisional recién colocada sobre el implante. | | Fig. 23 a y b: A los tres meses se toman impresiones y se coloca la corona definitiva. Obsérvese el perfil de emergencia y el magnífico estado de las papilas (puede observarse el plexo vascular vertical). | | | | |  | |  | | Fig. 24 a y b: La corona recién colocada (A) y a los dos años (B). Obsérvese la salud periodontal y el buen estado de las papilas. La pequeña isquemia que aparece en (B) es producida por la presión del separador de labios sobre la encía. | | Fig. 25: Radiografía de control a los tres años: Obsérvese la total integración y la ausencia de pérdida de hueso crestal, la zona pulida para la obtención del espacio biológico y el perfil de emergencia. | | | | |  | | | | Fig. 25 bis: Control fotográfico y radiológico pasados más de 4 años: Obsérvese la total integración y el mantenimiento de la estética. | | |
Caso nº 2 Varón de 56 años, que acude a la clínica por movilidad del incisivo lateral superior izquierdo. La historia clínica pone de manifiesto un traumatismo infantil sobre el diente que no ha presentado sintomatología durante estos años. En la exploración se observa el incisivo con gran movilidad y un color rojizo con prácticamente pérdida de su coloración natural. Radiográficamente se observa ausencia radicular de más de 2/3 de su longitud (Fig.26). Diagnóstico: Reabsorción cemento-dentinaria grave. Plan de tratamiento: Exodoncia e implantación inmediata transalveolar. Se toman sobre la marcha impresiones de ambas arcadas con alginato y se mandan al laboratorio de prótesis dental donde, como en el caso anterior, nos fabrican dos prótesis: una corona de resina ahuecada y una parcial removible para que, en el caso de ser imposible con la implantación resolver el problema estético, tengamos opción de resolver protéticamente el caso de forma inmediata. (Obsérvese la fecha tan significativa de la intervención). A las 4 horas se realiza la exodoncia y la implantación con ayuda de plasma rico en factores de crecimiento (Fig. 27). En las figuras 28 y 29 se aprecia el resultado obtenido. Caso nº 3 Mujer de 53 años de edad que acude a la clínica por movilidad del incisivo superior izquierdo. En la exploración se observa una corona metal cerámica en el 21, un pequeño absceso periodontal, movilidad y dolor leve. Radiográficamente, observamos una endodoncia bien realizada, sin lesión periapical y una reconstrucción con perno metálico, con línea de fractura tangencial mesial. Se decide la exodoncia cuidadosa, y la implantación de una fijación Q Trinon de 14mm por 4.5, con reposición inmediata de la estética. En las figuras 31, 32, y 33 se puede observar el procedimiento completo.  | |  | | Fig. 30: Fractura radicular oblicua del 21. Préstese atención al pequeño absceso periodontal. | | Fig. 31: El implante recién colocado. Obsérvese la posición del mismo, el coágulo de fibrina, así como pequeños restos de Bio-Oss GeistlichnBiomaterials. | | | | |  | |  | | Fig. 32: La corona provisional a la semana de su colocación. La excelente apariencia de los tejidos blandos pone de manifiesto el cuidado de la intervención. | | Fig. 33: La corona definitiva. Obsérvese la magnífica estética y salud de los tejidos blandos. |
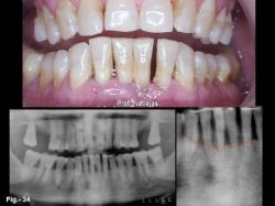
Caso nº 4 Mujer de 62 años que acude a consulta para tratamiento de la movilidad de sus dientes inferiores. De su exploración clínica y radiográfica se diagnóstica como periodontitis crónica del adulto con pérdida de soporte óseo. Los incisivos inferiores son inviables. En la Fig. 34 se puede apreciar la situación clínica y radiográfica de la paciente. Se decide exodoncia de los incisivos inferiores y la colocación de dos implantes inmediatos en situación 32 y 42, para la reposición inmediata de la estética. Durante la implantación, se coloca injerto de Bio-Oss GeistlichnBiomaterials en los alvéolos de 31 y 41, para el mantenimiento de la cresta alveolar. En las figuras 35 y 36 se puede observar la secuencia clínica de la implantación y reposición protética y en la 37 el resultado después de más de 4 años de la implantación.  | |  | | Fig. 34: Situación clínica y radiográfica de la paciente. El aspecto de los tejidos blandos, la apertura de diastemas y la pérdida de soporte óseo ponen de manifiesto la inviabilidad de los incisivos inferiores. | | Fig. 35 a y b: En (a) se observa la situación de los dos implantes Q TrinonR de 3.5 por 14mm de longitud, colocados tras la exodoncia de los incisivos. En (b) la prótesis fija provisional recién colocada. Para mantener la arquitectura de la cresta se colocó un injerto de Bio-Oss Geistlichn Biomaterials en los alvéolos de 31 y 41. | | | | |  | |  | | Fig. 36 a y b: En (a) aspecto de los implantes y tejido gingival antes de colocar la prótesis fija; en (b), la prótesis definitiva recién colocada. La pequeña zona irritada del 32 es debida a sobredimensión de la corona acrílica provisional. | | Fig. 37 a y b: En (a) aspecto de la prótesis definitiva a los cuatro años y cinco meses; en (b), aspecto radiográfico de los implantes a los cuatro años y cinco meses de su inserción. Obsérvese la buena situación de los implantes y la zona del injerto de Bio-Oss Geistlichn Biomaterials en 31-41 |
Conclusión La utilización de los implantes Q Trinon de un solo cuerpo es un procedimiento de éxito predecible para la reposición inmediata de la estética tras la exodoncia, siempre que se usen bajo las indicaciones expresadas en este artículo.
BIBLIOGRAFIA [1] Bravi F, Bruschi GB, Ferrini F A 10-year multicenter retrospective clinical study of 1715 implants placed with the edentulous ridge expansion technique. Int J Periodontics Restorative Dent. 2007 Dec;27(6):557-65. [2] Blanes RJ, Bernard JP, Blanes ZM, Belser UC. A 10-year prospective study of ITI dental implants placed in the posterior region. I: Clinical and radiographic results. Clin Oral Implants Res. 2007 Dec;18(6):699-706. [3] Becker W, Becker BE, Ricci A, Bahat O, Rosenberg E, Rose LF, Handelsman M, Israelson H. A prospective multicenter clinical trial comparing one- and two-stage titanium screw-shaped fixtures with one-stage plasma-sprayed solid-screw fixtures Clin Implant Dent Relat Res. 2000;2(3):159-65. [4] Peñarocha M, Carrillo C, Boronat A, Martí E. Early loading of 642 Defcon implants: 1-year follow-up.J Oral Maxillofac Surg. 2007 Nov;65(11):2317-20 [5] Avila G, Galindo P, Rios H, Wang HL. Immediate implant loading: current status from available literature. Implant Dent. 2007 Sep;16(3):235-45. [6] Crespi R, Capparè P, Gherlone E, Romanos GE. Immediate occlusal loading of implants placed in fresh sockets after tooth extraction Int J Oral Maxillofac Implants. 2007 ;22(6):955-62. [7] Esposito M, Grusovin MG, Willings M, Coulthard P, Worthington HV The effectiveness of immediate, early, and conventional loading of dental implants: a Cochrane systematic review of randomized controlled clinical trials. Int J Oral Maxillofac Implants. 2007 Nov-Dec;22(6):893-904. [8] Susarla SM, Chuang SK, Dodson TBJ Delayed versus immediate loading of implants: survival analysis and risk factors for dental implant failure. Oral Maxillofac Surg. 2008 Feb;66(2):251-5 [9] Cornelini R, Cangini F, Covani U, Wilson TG Jr. Immediate restoration of implants placed into fresh extraction sockets for single-tooth replacement: a prospective clinical study Int J Periodontics Restorative Dent. 2005 Oct;25(5):439-47. [10] Lindeboom JA, Frenken JW, Dubois L, Frank M, Abbink I, Kroon FH Immediate loading versus immediate provisionalization of maxillary single-tooth replacements: a prospective randomized study with BioComp implants J Oral Maxillofac Surg. 2006 Jun;64(6):936-42. [11] Vanden Bogaerde L, Rangert B, Wendelhag I. Immediate/early function of Brånemark System TiUnite implants in fresh extraction sockets in maxillae and posterior mandibles: an 18-month prospective clinical study Clin Implant Dent Relat Res. 2005;7 Suppl 1:S121-30. [12] Paolantonio M, Dolci M, Scarano A, d'Archivio D, di Placido G, Tumini V, Piattelli AJ Immediate implantation in fresh extraction sockets. A controlled clinical and histological study in man. Periodontol. 2001 Nov;72(11):1560-71. [13] Trinon Titanium GMBH . High Quality Titanium .Products P. O. Box 11 14 49D-76137 Karlsruhe Germany . [14] Shi L, Li H, Fok AS, Ucer C, Devlin H, Horner K. Shape optimization of dental implants .Int J Oral Maxillofac Implants. 2007 Nov-Dec;22(6):911-20. [15] Liu Y, Li JP, Hunziker EB, de Groot K. Incorporation of growth factors into medical devices via biomimetic coatings Philos Transact A Math Phys Eng Sci. 2006 Jan 15;364(1838):233-48 [16] Tarnow DP,ChoSC,Wallace SS. The efect of inter-implant distance of the height of inter-implant bone crest. J. Periodontol 2000;71: 546-549 [17] Grunder U, Gracis S, Capelli M.- Influence of 3D bone-to-implant relation-ship on esthetics. J. Periodontics Restorative Dent 2005: 25: 113-119 [18] Lazara RJ, Porter SS.-Platform switching: A new concept in implant dentistry for controlling postrestorative crestal bone levels. Int. J Periodontics Restorative Dent. 2006:26:9-17.
|