Información General
 Artículos
 Notícias
 Enlaces
 Contactar
 Buscar
 Premio Nadal
 Formación Continuada

Consejo

Infomed

 
Alteraciones del Color de los Dientes
Publicado el: 21/02/2007 17:17:31
Vista Imprimir
 

Autores:
   Bonilla Represa, Victoria
   Prof. Asociado de Patología y Terapéutica Dental de la Facultad de Odontología de Sevilla
   Mantín Hérnandez, Juan
   Prof. Asociado de Materiales Odontológicos de la Facultad de Odontología de Sevilla
   Jiménez Planas, Amparo
   Prof. Titular de Materiales Odontológicos de la Facultad de Odontología de Sevilla
   Llamas Cadaval, Rafael
   Prof. Titular de Patología y Terapéutica Dental de la Facultad de Odontología de Sevilla

Dirección:
   Prof. Victoria Bonilla Represa
   Facultad de Odontología
   Patología y Terapéutica Dental (Prof. Llamas)
   c/ Avicena s/n.
   41009-SEVILLA

RESUMEN
 El objetivo de este articulo es hacer una revisión bibliográfica actualizada de un tema clásico como es el de las discromías dentales. En este trabajo, clasificaremos los distintos cuadros en dos grandes grupos: tinciones intrínsecas y tinciones extrínsecas, en función del origen o la causa del cambio de coloración, de forma que las intrínsecas son aquellas que tiene su causa en o desde el interior del diente o los tejidos dentales, y las extrínsecas que son las que se producen en la superficie del diente, generalmente por deposito, aunque algunas pueden llegar a convertirse en intrínsecas. Desglosaremos cada uno de los apartados, explicando sus causas, describiendolos clínicamente y dando una posible opción de tratamiento, en los casos en los que sea necesario.

PALABRAS CLAVES
 Tinciones dentales, coloraciones dentales, discromías dentales, alteraciones del color, tetraciclinas, necrosis pulpar.

SUMMARY
 The objective of this  articulate is to do a revision bibliografica brought up to date of a classical theme as is that of the dental colour alterations. In this work, we will classify the different medical profiles in two large groups: intrinsic colourations and  extrinsic colourations, in funcin of the origin or the cause of the change of colouring, so that the intrinsics are those that has their cause in or since the interior of the tooth or the dental weavings, and the extrinsics that are the ones that are produced in the surface of the tooth, generally by place of deposits, although some times can become intrinsecs.  We will itemize each one of the sections, explaining its causes, describing them clinicaly and giving a possible treatment option, in the cases in which be necessary. 

KEY WORDS
 Dental color disorders, dental colouration, dental colouring, tetracyclines, pulpar necrosis.

INTRODUCCIÓN
 Al igual que ocurre con la piel, el pelo o los ojos , el color dental es variable en cada individuo, pero, a pesar de ello, es fácil realizar el diagnóstico de la existecia de una alteración en el color dental, incluso para una persona ajena al campo de la Odontología. De esta forma, detectar una discromía en el diente resulta sencillo para el profesional, pero puede resultar más complejo determinar su causa, momento y mecanismos de producción, así como su posible tratamiento. En este artículo  pretendemos hacer una revisión y clasificación de las alteraciones cromáticas de los dientes, explicando el porqué, el cómo, el cuándo se producen y el tratamiento.

COLOR DENTAL
 El color dental no se puede considerar como un parámetro estable sino que varía de un individuo a otro, de una dentición a otra, de un diente a otro e incluso a lo largo del tiempo en un mismo diente. Ademas, se debe tener en consideración que la percepción del color es el resultado de una combinación de tres factores, la luz, el objeto y el observador (1)

 

Image
Fig.1. Espacio Cromático C.I.E. Lab.

 

FACTORES QUE CONDICIONAN EL COLOR
A) Medición del color.

 A pesar de que la luz y el objeto son factores estables, la presencia de uno tercero subjetivo, el observador, hace que la percepción del color, así como la comunicación de este a otro individuo, pueda resultar compleja.

 Por este motivo, en 1931, se creó “la Commissión Internacionale de l´clairage“ (C. I. E), que en 1976 estableció como medir el color el “C. I. E Lab” (Fig. 1), espacio del color  que se representa por un eje tridimensional de coordenadas donde los ejes son L* o valor o luminosidad, que va desde el cero o negro al 100 o máxima luminosidad, él a* que oscila desde el a* positivo que es el rojo a el a* negativo que es el verde y el b* donde él b* positivo es el amarillo y el b* negativo es el azul (2). De esta manera se establece una unidad objetiva para determinar cada color, pero ¿cómo se puede trasladar el color del diente en boca a este eje de coordenadas?

 En el transcurso de los años se han utilizado varios sistemas para establecer el color de los dientes. Clásicamente se ha empleado la medición visual, que usa una guía de colores y la compara con el color del diente a estudiar. Este es el método más frecuente rápido y económico (3),  pero está sujeto a múltiples variables del observador como la edad, la visión,  la experiencia, la fatiga... (4,5). A pesar de esto el ojo humano es capaz de distinguir pequeños cambios de color entre dos objetos (6) y además se puede entrenar en ello (4,7).

 El espectrofotómetro, que mide las longitudes de onda, nos da un color mucho más exacto de los objetos, pero requiere un equipo caro, complejo y difícil de manejar in vivo (8).

 El colorímetro es otro sistema que mide el color con valores C. I. E lab o empleando tres variables X, Y y Z (3,8). En general los resultados son buenos pero no concluyentes ya que algunos autores no obtienen una buena concordancia de color con la medición del colorímetro y la visual (9,10,11) a pesar de que en otros estudios esta relación es buena (3,12). Su uso en boca sin embargo no está libre de variaciones, ya que las condiciones de la superficie del diente, la apertura, la presencia de anomalías, etcéteras... producen errores (3,13).

 Por último, los sistemas más novedosos son los de análisis computarizado de imágenes fotográficas que se emplean con éxito en estudios de blanqueamiento (14-18).

B) Percepción del color.

 El color es un parámetro complejo que no depende de un solo factor. Se ha expuesto como el observador es un factor muy importante y variable y como podemos disminuir la subjetividad del mismo. Pero también existen variaciones dependientes del objeto que, en este caso, es un diente.
 El color dental depende de cuatro fenómenos que se producen cuando la luz incide sobre el diente: 1º) La trasmisión especular a través del diente, 2º) la reflexión especular en la superficie, 3º) la reflexión difusa de la superficie y 4º) la absorción y dispersión (3,19). Éstos cuatro fenómenos son diferentes en las zonas distintas del diente, y mientras que en el esmalte la hidroxiapatita produce una gran dispersión, la dentina debe su isotropía óptica a la presencia de los túbulos dentinarios (20).  Mientras que el esmalte es más translúcido cuanto más mineralizado está, y aumenta su capacidad de dispersión con la disminución del contenido mineral (21), por ello podemos decir que el color del diente depende principalmente del color de la dentina (22), interviniendo el esmalte algo en la matización en el rango de los azules.

 Existen además otros factores físicos secundarios que modifican la percepción visual del color del diente como son la translucidez, la opacidad, la iridiscencia, la textura de la superficie y la fluorescencia (23), siendo el más importante la translucidez y opacidad (24).

 Por último, y no por ello menos importante en la percepción del color, están los factores objetivos y socioculturales, sobre los que se han hecho múltiples estudios, y se conoce que el aspecto de los dientes es más importante para las mujeres que para los hombres, así como para los  jóvenes que los ancianos (25), a pesar de que Grosofsk y col. (26) comprobaron que el ser más o menos atractivo no depende del color dental. Para demostrarlo, modificaron el color de los dientes en fotografías de caras haciéndolos más blancos y no encontrando un aumento del atractivo esperado. Por este motivo se ha demostrado en distintos estudios como el paciente que quiere tener los dientes más blancos depende más de la percepción personal, de la de autoestima y del estereotipo (27,28).

 Objetivamente sin embargo, si se ha comprobado como el grado de satisfacción es mayor cuando los cambios de color se producen en el parámetro b* del C. I. E lab no influyendo tanto los ejes L* y a* (15).

C) Distribución del color.

 Por último expondremos algo de la epidemiología o distribución del color, aunque ya se indicó al comienzo de este estudio que es muy variable de una persona a otra. Las variaciones que podemos encontrar están en función de distintos parámetros:

1) Humedad : clásicamente se piensa que los dientes secos parecen más claros que los humedecidos, hecho que es real. Russell y cols (29) demostraron como el colocar el dique de goma durante 15 minutos producía un aumento de los valores de L* y a*, recuperándose el color base a los 20 minutos de retirar del dique. Este cambio de color por desecación también se produce en impresiones tomadas con polivinilsiloxsanos, recuperándose el color normal a los 30 minutos.

2) Edad : son evidentes y demostrados los cambios de color sufridos por los dientes como consecuencia del envejecimiento, sin embargo, no trataremos este punto aquí sido más adelante a lo largo del artículo.

3) Raza / color de piel : a pesar de la limitada información al respecto un estudio de Jahangiri y cols (30) demuestran como la relación entre el color dental y el color de la piel es inversamente proporcional, es decir, a piel más oscura, dientes más claros.

4) Sexo : aunque existe la creencia de que el color dental de la mujer es más claro, no existen diferencias significativas en los estudios realizados, sin embargo, en un trabajo reciente de Odioso y cols (28), han encontrado variación estadísticas, de forma que los dientes femeninos son más claros y menos amarillos.

5) Diente : también se observan variaciones en función del diente que observemos. De esta forma los dientes temporales son más claros y blancos que los permanentes, pero dentro de la dentición definitiva, la mayoría de los estudios se centran en la observación de los incisivos centrales superiores que suelen ser dientes más luminosos que los incisivos laterales superiores o los caninos (31-34).

6) Región del diente : también es habitual recoger el color en la zona central del diente ya que es el área más estable, pero esto nos está indicando que existen diferencias entre las distintas zonas del diente. Si dividimos el diente en tres zonas comprobamos cómo la zona incisal es más traslúcida, pero además presenta valores más bajos de a* y b*, mientras que la zona cervical presenta los valores de a* y b* más elevados, o lo que es lo mismo, la zona es más saturada (2, 33, 34). La zona central además presenta los valores de luminosidad L* más altos de las tres.

ALTERACIONES DEL COLOR

 Antes de comenzar es necesario hacer una breve aclaración con respecto a la nomenclatura. Es frecuente encontrar, especialmente en los textos clásicos, variaciones con respecto a las denominaciones empleadas para determinar un mismo proceso, lo que puede llevar a error. Por este motivo, y dado que en español las palabras tinción y coloración pueden considerarse sinónimos, en este articulo emplearemos indistintamente ambos términos para referirnos a los cambios en el color dental, especificando simplemente si se trata de cambios intrínsecos (interiores) o extrínsecos (exteriores). Así, básicamente los cambios de color de un diente los podemos dividir en dos grandes grupos:

* Tinciones intrínsecas: son aquellas que se producen en el interior del diente o bien que afectan la estructura y tejidos dentales.

* Tinciones extrínsecas: son aquellas que aparecen sobre la superficie dental y como consecuencia del depósito de sustancias cromógenas o pigmentantes.

 Ambos tipos a su vez pueden ser permanentes o transitorias, en función de la duración de la tinción.

TINCIONES INTRÍNSECAS

 Son aquellas en donde la sustancia que pigmenta se encuentran en el interior del diente o forma parte de la estructura interna del tejido. Pueden ser permanentes o transitorias y además pueden aparecer de forma generalizada, afectando toda la dentición, o bien aisladamente, afectando a un solo diente.

TABLA I.- TINCIONES INTRÍNSECAS

A) Generales:
 1. Enfermedades sistémicas:
    a) Alteraciones hepáticas.
    b) Alteraciones hemolíticas.
    c) Alteraciones metabólicas. 
    d) Alteraciones endocrinas.
 2. Displasia dentales:
    a) Amelogénesis imperfecta.
    b) Detinogénesis imperfecta.
 3. Ingesta de sustancias.
    a) Tetraciclina y otros antibióticos o fármacos.
    b) Fluorosis.
    c) Déficit vitamínico y de otras sustancias.
 4. Alteraciones por calor.
 5. Envejecimiento y color postmortem.
B) Locales:
 1. Procesos pulpares y traumatismos.
    a) Hemorragias pulpares.
    b) Calcificaciones.
    c) Necrosis.
    d) Restos pulpares.
 2. Patologías dentales.
    a) Caries.
    b) Reabsorción radicular.
    c) Hipoplasias del esmalte.
    d) Diente de Turner.
 3. Material de obturación, endodoncia y otros.
    a) Materiales de obturación :
    -    Amalgama de plata.
    -    Composite.
    b) Materiales de endodoncia.
    c) Otros materiales. 

 En la Tabla I se recoge la clasificación de la Tinciones Intrinsecas (Tabla I). A continuación describiremos cada una de las tinciones, analizando sus mecanismos de formación.

A) GENERALES.

 Son aquellas tinciones que están causados por procesos generales, provocando la coloración de toda la dentición, o al menos de varios dientes. Casi todos se producen durante el periodo de formación dental, aunque en alguna ocasiones afecta al diente ya desarrollado como es el caso del envejecimiento. La tinción se produce porque el pigmento se incorpora en la estructura intima del tejido, o bien es el tejido el que , por alteraciones, se colorea. En cualquier caso, produce coloraciones muy variadas y pueden ser producidas por numerosas enfermedades:

1. Enfermedades sistémicas.

 a) Alteraciones hepáticas : procesos como la atresia biliar (estenosis de los conductos biliares) o una bilirrubinemia (en casos de enfermedad congénita en niños con ictericia severa), se caracterizan por un aumento de los pigmentos biliares, bilirrubina y biliverdeina en sangre. Si coincide con el proceso de formación dental pueden producir una coloración verde en los dientes, más o menos intensa en la raíz, que se deben a depósito de esta sustancia (35). Aparece en dentición temporal, con un color que oscila entre amarillo verde y marrón, y que se debe asociar a una historia clínica previa de problemas hepáticos (36).

 b) Alteraciones hemolíticas : enfermedades sistémicas que cursan con la ruptura masiva de hematíes con un aumento de hemoglobina y los productos  derivados de su composición, como la eritroblastosis fetal, la talasemia o la anemia depranocitica. El aumento de pigmentos tiene que coincidir con el periodo de formación dental siendo más frecuente de ver en la dentición temporal que presenta coloraciones muy variables desde el azul verdoso al negro azulado o marrones (37).

 c) Alteraciones metabólicas : destacamos dos cuadros como los más importantes :
    - Alcaptonuria : se trata de un déficit enzimático en la cadena del metabolismo de los aminoácidos. Faltaría la oxidasa del ácido homogentísinico que es un metabolito de la tirosina, que se acumula en sangre y tiñe la orina, el sudor y se deposita en los cartilagos produciendo artrosis. A nivel dental se caracteriza por la presencia de depósitos de pigmentos oscuros en los dientes dando como resultado una coloración marrón (37).
    - Porfiria : es un transtorno hereditario en la síntesis hepática o de la médula ósea del “Hem”, grupo proteico de la hemoglobina y otras ferrinas. se clasifican según el déficit enzimático sea hepático o de la medula osea, en hepáticas o eritropoyéticas. Las porfirias se producen por una alteración en el metabolismo de la porfirina circulante en sangre y se acompaña, en general, de trastornos neurológicos, fotosensibilización, amnesia, lesiones hepáticas, cálculos biliares y orina de color rojo oscuro. Desde el punto de vista dental, lo mas característico es la eritrodoncia, es decir, el depósito en los dientes de porfirinas que pueden presentar una coloración que oscila del marrón rosado al malva (38).

 d) Alteraciones endocrinas : problemas en la producción de ciertas hormonas tiroideas o paratiroideas pueden producir depósitos de pigmento o cambios de color de los dientes con aspectos muy variados que oscilan desde el verde del hipoadrenalismo, o el amarillo claro que tiende al rosa del hiperadrenalismo, o el amarillo-marrón del hipotiroidismo y el blanco-azulado lechoso o gris del hipertiroidismo (38). Evidentemente y como hemos dicho antes, estos procesos deben coincidir con la odontogénesis, siendo más frecuente verlas en la dentición temporal.

 Tratamiento de las tinciones por enfermedades sistémicas : el tratamiento de este tipo de pigmentaciones suele ser nulo ya que en la mayoría de los casos afecta a dentición temporal. Sin embargo, en los casos que se requiera tratamiento o que afecte la dentición permanente, podríamos optar por un blanqueamiento bien interno o externo más o menos prolongado o agresivo según el grado de pigmentación. Otra opción serían las carillas estéticas con resinas compuestas o porcelana, con o sin blanqueamiento previo.

2. Displasias.

 La existencia de displasias dentales, es decir, procesos malformativos del tejido dental, pueden asociarse a cambios en el aspecto externo de los dientes y por lo tanto en el color. Dentro de las displasias que tienen una distribución generalizada destacamos dos : la amelogénesis imperfecta y dentinogénesis imperfecta.

 a) Amelogénesis imperfecta : es un proceso hereditario que afecta a la formación del esmalte ligado al cromosoma X, con carácter autosómico dominante. Este cuadro afecta a la formación de la matriz o al proceso de mineralización del esmalte, de forma que pueden existir hasta 14 subtipos en función de la fase del proceso de amelogénesis en que se produzca el fallo (39). Aunque el aspecto externo es muy variado, es frecuente que adquiera un color amarillo (Fig. 2) (40)

 

Image
Fig.2. Amalogénesis Imperfecta.

 

 b) Dentinogenesis imperfecta : es un proceso hereditario autosómico dominante que condiciona alteraciones en la formación del colágeno de la matriz. Existen dos formas, la tipo I, que se trata de un signo de un cuadro más complejo como es la osteogénesis  imperfecta, y la tipo II, en donde la alteración de la dentina aparece aislada sin asociarse a un cuadro más complejo.

 Los cambios de color fundamentalmente pueden ser de dos tipos : dientes opalescentes grisaceos, o dientes amarillo-marrón (41-45).

 Es un cuadro que se presenta con más frecuencia en dentición temporal siendo más habitual la coloración amarillenta que la coloración opalescente-grisácea. También se ha comprobado como la perdida de sustancia es más rápida y las fracturas del esmalte más frecuentes en los casos de dientes con tinción amarilla que en los opalescentes (42).

 Tratamiento de las displasias : el tratamiento de estos desórdenes estructurales va a depender del aspecto y gravedad de los mismos. Con respecto a la amelogénesis imperfecta, en ocasiones, es necesario realizar tratamientos agresivos con coronas de recubrimiento total para mejorar el aspecto ya que el sustrato sobre el que se trabaja es bastante deficiente.

 En el caso de la dentinogénesis tipo I igualmente puede requerir tratamientos agresivos sobre todo en la primera dentición, como el colocar coronas metálicas en el sector posterior para mantener la dimensión vertical. Con respecto al uso de las técnicas adhesivas, aunque tradicionalmente han sido poco recomendadas, estudios de O´Conell y cols no encuentran motivos para su contraindicación (46) . Hay también autores que recomiendan  la posibilidad de hacer tratamientos de blanqueamiento con peróxido de carbamida (47).

3. Ingesta de sustancias.

 Dentro de este grupo podemos englobar tres grandes apartados: las tetraciclinas y otros antibióticos o fármacos, la fluorosis y la carencia de vitaminas y otras sustancias

 a) Tetraciclinas y otros antibióticos o fármacos : las tetraciclinas se comenzaron a usar en 1948, pero las primeras referencias de que causaban coloración dental no se recogen hasta 1956, cuando Schuster y Schwachman lo describieron (48), señalando además eran capaces de atravesar la placenta (48). Pero no es hasta 1963, cuando la FDA advierte que su uso podría teñir los dientes de forma permanente.

 El mecanismo de actuación se considera que es debido a la quelación que se produce entre el antibiótico y el calcio, depositándose en forma de él ortofosfato cálcico-tetraciclina en aquellos tejido que se están mineralizando en el momento de la administración,  como cartílagos, huesos o dientes (49, 50). Tambien se sugiere que el depósito se produce por la unión del antibiótico a elementos como níquel, magnesio, zinc, nitratos y aluminio, así como el hierro y el calcio.

 Además de las tinciones y cambios de color consecuencia del depósito a nivel dentinario, en el esmalte se pueden producir hipoplasias tanto en la dentición temporal como la permanente (51)

 Los factores que harán que la tinción sea más o menos llamativa son:  la dosis,  la duración del tratamiento, la fase de mineralización del diente, la actividad del proceso de mineralización y el tipo de tetraciclina, ya que no todas producen el mismo tipo de tinción. Se conoce que la tinción varia desde el amarillo al gris, o marrón en función del medicamento administrado :

-  Clortetraciclina (Aureomicina) : gris-marrón.

-  Dimetihylclortetraciclina (Ledermycin) : amarillo
-  Doxyciclina (Vibramicina) : no tiñe.
-  Oxytetraciclina (Terramicina) : amarillo.
-  Tetraciclina (Acromicina) : amarillo.

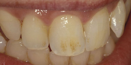
 En función de los factores anteriormente mencionados, así como del tipo de fármaco, podemos encontrar distintos grados de afectación de los dientes :

  - Grado I : se caracteriza por ser una coloración muy leve, amarilla o marrón claro, pero que es uniforme (Fig. 3).

 

Image
Fig.3. Manchas de Tetraciclina (Grado I).

 

  - Grado II : son los más frecuentes y se trata de dientes amarillos, marrones o grises con una distribución uniforme pero más intenso que la anterior (Fig. 4).

 

Image
Fig.4. Manchas de Tetraciclina (Grado II).

 

  - Grado III : además de presentar más saturación en el color, aparecen bandas o líneas (Fig. 5).

 

Image
Fig.5. Manchas de Tetraciclina (Grado III).

 

- Grado IV : es rara y se caracteriza por presentar dientes muy oscuros con bandas o estrías e incluso irregularidades en la superficie (Fig. 6).

 

Image
Fig.6. Manchas de Tetraciclina (Grado IV).

 

 Otro rasgo característico de los dientes con manchas por tetraciclínas, es un cambio en la fluorescencia ante la presencia de luz ultravioleta. A diferencia de los dientes normales, estos dientes adquieren un color amarillo brillante cuando se les ilumina con una luz ultravioleta (52).

 Por último también es característico el cambio de color que sufren los dientes tras su erupción como consecuencia de la oxidación. A medida que la luz del sol incide sobre ellos, el antibiótico se oxida adquiriendo un color más oscuro (marrón) y va perdiendo su fluorescencia (53). Este efecto de oxidación puede explicar el porqué de algunas recidivas de tratamientos de blanqueamiento (54), o el que los dientes anteriores sean más oscuros que los posteriores.

 Todos estos signos, son consecuencia de la administración de la tetraciclina durante el proceso de formación del diente, es decir, desde el cuarto mes de vida intrauterina hasta los ocho años de edad, pero, ¿qué ocurre si se administran en edades adultas?. Se ha comprobado que existen riesgos de pigmentación también en tratamientos prolongados (55) y se cree que puede ser por los procesos de remineralización continuos del esmalte (54) o por la incorporación en la dentina secundaria, que posteriormente se oxida por acción de la luz, produciendo tinción permanente (56).

 Otro antibiótico que se ha descrito como pigmentante es la minociclina, empleada por ejemplo como tratamiento del acné. Éste produce una variación de color azul- grisáceo que tiende al gris que oscurece las coronas (57-60) y que aparece en el 3-6% de los casos.

 No se conoce bien su mecanismo de acción y existen actualmente tres teorías. Una es su asociación al hierro, otra se basa en la salida del fármaco por el fluido gingival, y la tercera o intrínseca, determina que es el plasma sanguíneo es el que lo distribuye por los distintos tejidos del organismo, especialmente en los que tienen colágeno para después oxidarse y colorear (61).

 Basándose en esa teoría algunos autores (62, 63) aconsejan asociar su administración con un antioxidante como la vitamina C para prevenir el efecto de la tinción.

 Además de la tetraciclina y la minociclina también se han asociado tinciones a otros fármacos como el linezolid (64) que produce tinciones reversibles o la amoxicilina (65, 66) que también produce tinciones reversibles azul grisáceas.

 Tratamiento de las tinciones por tetraciclinas : el tratamiento dependerá de lo agresivo del caso.  Se ha comprobado que los grados I y II responden bastante bien al blanqueamiento externo ambulatorio (67) de larga duración aproximadamente seis meses (68). Si se trata de cuadros más agresivos habrá que optar por tratamientos protésicos con coronas o con carillas que producen un grado de satisfacción alta entre los pacientes (69) o bien un tratamiento combinado, realizando un blanqueamiento previo al tratamiento protésico.

 La tercera opción sería hacer el blanqueamiento interno de los dientes con endodoncia previa, donde aunque el tratamiento es agresivo, se tienen resultados a corto plazo de forma bastante previsible (70)

 b) Fluorosis : la afectación por fluorosis se produce por un exceso en la ingesta del ión flúor durante el proceso de formación de los dientes. Se sabe que el flúor a dosis de bajas concentraciones es un protector efectivo contra la caries dental, sin embargo, si excedemos el límite, se producen alteraciones de la formación del esmalte asociado con cambios en el color del diente. Por este motivo, el flúor tiene una acción dependiente de la dosis, dependiendo la aparición de la fluorosis del tiempo y de la intensidad de la toma del mismo.

 La acción del flúor para la producción de fluorosis es por la interacción con el metabolismo de los ameloblastos, actuando en la fase secretora y post secretora. Clínicamente encontramos dientes manchados con zonas más blancas y opacas que hacen que los dientes reciban el hombre de diente beteado. Pueden aparecer en ambas denticiones y se distribuye de forma general y bilateral. En función del grado de afectación, podemos clasificarlos siguiendo el índice de DEAN (54) que lo clasifica en:

-  Normal.
-  Cuestionable : el diente presenta sutiles y pequeñas manchas blancas.
- Muy leve: encontramos el diente beteado, con manchas que ocupan más del 25% de la superficie.
-  Leve: las manchas se extiende hasta el 50% (Fig. 7).
- Moderada : cuando todo el diente aparece afectado por manchas que pueden ser marrones.
- Severa : se afecta toda la superficie pudiendo afectarse también la forma del diente con presencia de defectos externos.

 

Image
Fig.7. Fluorosis.

 

 Tratamiento de la tinción por fluorosis : dependerá de la demanda estética del paciente y puede ser desde un blanqueamiento externo en los casos más sutiles, hasta la necesidad de carillas o coronas en los casos más abigarrados.

 c) Déficit vitamínico y de otras sustancias : el aporte insuficiente de sustancias o vitaminas implicadas en la formación del esmalte y la dentina durante la odontogenesis, como las vitaminas A, C, D, fósforo o calcio, pueden provocar la aparición de problemas estructurales que se manifiestan con cambios de coloración en los dientes (54).

 4. Alteraciones por calor.

 A pesar de que los dientes son altamente resistentes al cambio de temperatura cuando el calor excede ciertos grados, se produce un cambio de color tanto en el esmalte como en la dentina. A nivel del esmalte se produce una pérdida de agua que provoca un aclaramiento así como una mayor opacidad, que es mayor con el aumento de la temperatura (71). En la dentina, el aumento de temperatura provoca el cambio de color hacia un marrón claro, que se va oscureciendo a medida que se elevan los grados (71). La velocidad del cambio de color es mayor cuanto más rápido será el aumento de grados (72).

 5. Envejecimiento y color post mortem.

 

Image
Fig.8. Coloración amarilla por envejecimiento.

 

Es un hecho conocido que con el paso del tiempo se produce un oscurecimiento de los dientes, volviendose mas amarillos (Fig. 8), aunque no siempre este cambio va asociado a una insatisfacción del paciente con respecto al color de sus dientes (73). Este cambio de color está motivado por la unión de varios factores que son:
- La pulpa dental se va atrofiando y en su lugar se forma dentina secundaria (74).
- La dentina circundante se vuelve más compacta y menos permeable
- Existe la teoría de que los iones y pigmentos atraviesan el esmalte y se depositan en el límite amelo-dentinario y en el límite de la dentina (74).
- El color de la dentina se vuelve más saturado mientras que la luminosidad o valor se disminuye.
- El esmalte se hace más delgado y esto hace que el color de la dentina se haga más dominante (22).
- El color cambia pasando la parte roja del diente hacia el gris (75).
- La superficie del esmalte se hace mas lisa y pulida perdiendo la naturalidad.

 Estos cambios además son apreciados desde las fases más tempranas, pudiendo observarse cambios de color desde el periodo de la adolescencia (75).

Image
Fig.9. Coloración rosa post mortem.
 Otro fenómeno que produce coloración dental es el proceso de coloración hacia el rosa que se produce en los dientes de cadáveres (Fig. 9). Es un hecho conocido por los forenses la aparición de dicha coloración rosada en los dientes tras la muerte pero su mecanismo de acción exacto aún está por descubrir. Según los últimos estudios parece que está coloración es debida al acumulo de sangre tras la muerte y no a procesos necróticos pulpares, de manera que el fenómeno depende más de un factor físico que de factores químicos (76) y no dependiente del tiempo transcurrido desde la muerte (4).

 

B) LOCALES.

 Estas tinciones se producen generalmente con el diente ya formado como consecuencia de la acción de un agente extraño. Afecta a la estructura interna del diente, pero nuca a toda la dentición de forma general, sino a uno o varios dientes asilados. El color que adquieren es muy variado en función del agente causal.

 1. Proceso pulpares y traumatismos.

 a) Hemorragias: la primera causa de aparición de cambios de color como consecuencia de un proceso pulpar o un traumatismo sería la hemorragia pulpar. No es fácil de ver y se aprecia como un cambio de coloración rojo o rosa como consecuencia de la salida  de la sangre fuera de los vasos y capilares. Es más frecuente en dientes deciduos donde a veces se reabsorbe y otras se mantiene (77) pudiendo producir otros procesos posteriores. Si el tejido pulpar no sufrió daño el exceso de sangre poco a poco se va reabsorbiendo hasta que el diente vuelve su color normal, pasando por colores como el naranja, marrón, azul, o incluso negro. Otras veces, el color se mantiene a pesar de que el diente está vital.

 b) Calcificaciones : una posible respuesta del diente ante un traumatismo u otra agresión es la calcificación total o parcial de la cámara pulpar. En estos casos la coloración será más intensa cuanto más calcificada esté la cámara y menos espacio quede. El color que adquiere el diente será un color más saturado y más amarillo pero distinto al de procesos como la necrosis que describiremos posteriormente. El diente puede mantener su vitalidad pero puede ser muy complicado hacer el tratamiento de conductos en caso de necesitarlo u optar por un blanqueamiento interno.

 c) Necrosis :  la tercera posibilidad de reacción del tejido pulpar es hacia la necrosis o muerte del tejido. En los casos en los que la agresión excede los márgenes de resistencia del diente el tejido pulpar sufrirá un proceso de degradación que nos lleva a la necrosis. Esta necrosis, con o sin bacterias, producirá productos de desintegración del tejido que se introducirán en los túbulos dentinarios tiñendo así la dentina (54). En los casos en los que haya bacterias la coloración se hace más intensa ya que el tejido necrótico reacciona con los productos sulfatados del metabolismo de las bacterias formando sulfuro ferroso que es una sustancia muy negra y pigmentante.

 El diente adquiere un color más oscuro que varía del gris al marrón o negro en función del tiempo transcurrido y de la presencia o no de bacterias (Fig. 10).

 

Image
Fig.10. Necrosis pulpar.

 

 d) Restos pulpares : esta situación es parecida a lo que ocurre en los dientes con necrosis pulpares. En estos casos la pulpa remanente, se degrada igualmente y tiñe la dentina por la introducción de los productos de desnaturalización en los túbulos.

 Tratamiento de los procesos pulpares y traumatismos : El tratamiento es realizar el tratamiento endodontico correcto y posteriormente el blanqueamiento interno. Es aconsejable hacerlo con prontitud para evitar que la tinción se haga más intensa y resistente.

 2. Patologías dentales.
 Además de los traumatismos y los procesos pulpares, otras patologías pueden causar cambios de coloración entre las que destacamos:

 a) Caries : la caries es en un proceso de disolución de la materia orgánica del diente, seguido de la desmineralización del material inorgánico (78) y entre las características clínicas que presenta está la del cambio de color desde las fases más tempranas. Podemos encontrar lesiones blancas (Fig. 11), que se producen en la primera fase por perdida de mineral, pero también lesiones oscuras de color pardo (Fig. 12) donde se han incorporado sustancias pigmentantes en el interior del tejido dañado o por remineralización. En cualquier caso el cambio de color producido por la caries es fácilmente diagnosticable y muy localizado.

 

Image
Fig.11. “Mancha blanca” de caries.

 

 

Image
Fig.12. “Mancha parda” de caries.

 

 b) Reabsorción radicular : la existencia de reabsorciones radiculares, especialmente las internas, condicionan también un cambio de color. En estos casos la corona adquiere un color rojo rosado (77) consecuencia del aumento de vasos sanguíneos del tejido de granulación inflamatorio en el interior del diente, unido a una disminución del espesor de la dentina, por reabssorción. Este proceso se hace más evidente durante la exfoliación de los dientes deciduos, que antes de producirse adquieren un color rosado en la corona.

 c) Hipoplasias del esmalte : estas manchas de esmalte son frecuente observarlas en la cara vestibular de los dientes anteriores, como manchas más o menos definidas de color blanco (Fig. 13) o pardo que pueden verse en superficie o lo que es más frecuente, por trasparencia a través del esmalte sano. Éstas lesiones se forman durante la odontogénesis y se caracterizan porque el diente erupciana con ellas no variando su aspecto, forma o tamaño con el tiempo (38).

 

Image
Fig.13. Hipoplasia del esmalte.

 

 d) Diente de Turner : se trata de una displasia compleja que se caracteriza por la aparición de un islote de cemento ectópico de cicatrización en mitad de la cara vestibular de los incisivos y en la oclusal de los premolares que evidentemente provoca una alteración del color normal del diente. Este cemento se forma como consecuencia de un daño recibido en el germen del diente definitivo que se intenta subsanar antes de la erupción del mismo con el depósito de cemento en la corona del diente.

 Tratamiento de las coloración por diversas patologías dentarias : es variado y normalmente pasa por el tratamiento de la patología que lo causa para después tratar el problema cromático si es que existe, con blanqueamientos o material de reconstrucción estético.

 3. Material obturación, endodoncia y otros.

 Son muchos los materiales usados en odontología lo pueden producir cambios de color.

 a) Materiales de obturación : en los materiales de reconstrucción debemos destacar como el más importante la amalgama de plata.

   - Amalgama de plata: la amalgama de plata en un material ampliamente utilizado con unas características clínicas muy buenas pero con el gran inconveniente de la estética. Este material no sólo resulta antiestético per se, sino que con el trascurrir el tiempo se degrada, especialmente en la interfase, condicionando la aparición de una tinción gris oscura o negra en el esmalte en los margenes de la restauración (Fig. 14) (4), característica de las amalgama de plata de largo tiempo de evolución. Estudios actuales han demostrado que estas tinciones son debidas a la entrada de iones de plata en el interior de los túbulos dentinarios y no al mercurio como se creía hace unos años (79).

 

Image
Fig.14. Coloración por amalgama de plata.

 

   - Composite : los composites o resinas compuestas son materiales muy estéticos que no presentan problemas de coloración a corto plazo. Sin embargo, son materiales porosos capaces de asimilar los pigmentos del entorno disueltos en la saliva (80), por este motivo, en los composites antiguos también se producen cambios de coloración (Fig. 15). Estos cambios también se observan cuando la superficie no está bien pulida, sobre todo si no se trata de un micropartícula, o cuando la interfase diente material no está bien conseguida. En estos casos tampoco es el diente el que se tiñe sino el material o bien la línea de la interfase.

 

Image
Fig.15. Cambio de coloración del composite y por caries marginal.

 


 b) Materiales de endodoncia : el cambio de color de los dientes endodonciados es algo conocido y frecuente, y la causa principal es la sangre, el tejido necrótico, y por supuesto los materiales de endodoncia (81), que producen una pigmentación del diente tratado y para evitarla se deben retirar bien del interior de la cámara pulpar (54). Dentro de esto materiales están la gutapercha, los cementos, especialmente si contienen metales, las puntas de plata, que da un color azul grisáceo, y otros materiales como pernos, pins, o otros elementos de retención intra camerales. Además, un estudio de Van der Burgt y cols (81) revela como no todos los cementos colorean por  igual siendo el más pigmentante el Riebler y el que menos el Diaket. Otros como el AH 26, N2, cemento de Grossman, etc... se encuentran entre ambos pero todos tiñen a las tres semanas de su colocación.

 c) Otros materiales : son muchos los materiales usados en odontología, desde hace años que pueden provocar tinciones del diente, entre ellos destacamos algunos:

-  Iodo : castaño, naranja un amarillo.
-  Aureomicina : amarillo
-  Nitrato de plata : negro -azulado.
-  Cobre : verde o azulado.
-  Aceites volátiles : castaño amarillento.
-  Eugenol : marrón oscuro.
-  Compuestos fenólicos : marrón oscuro.
- Pastas poliantibioticas : cuyo color dependerá del antibiótico empleado, como explicamos en el apartado correspondiente y que producirá la tinción de la raíz.

TINCIONES EXTRÍNSECAS

 Es importante saber que para que las tinciones extrínsecas se produzcan en necesario que previamente se haya formado sobre la superficie dental la película adquirida o que existan restos de la membrana de Nashmith. Sin esta estructura proteínica previa es imposible que se produzca el depósito de pigmentos. En la tabla II están recogidas las tinciones extrínsecas

 TABLA II.- TINCIONES EXTRÍNSECAS

   1. Alimentos y hábitos sociales:
    a) Alimentos (café, té, vino, cola,...).
    b) Tabaco.
    c) Clorhexidina.
   2. Tinciones metálicas.
   3. Tinciones bacterianas.
    a) Materia alba.
    b) Depósitos verdes.
    c) Depósitos naranjas.
    d) Depósitos negros.

 1. Alimentos y hábitos sociales.

 Son muchas las sustancias alimenticias u otras sustancias en contacto con los dientes las que pueden producir coloración dental aunque de forma extrínseca.

 a) Alimentos (café, té, vino, cola, etc....): dentro de las tinciones por alimentos tenemos dos grandes grupos, las manchas poco duraderas y las permanentes aunque extrínsecas. El primer grupo no nos resulta interesante, ya que con un simple cepillado desaparecen. Pero dentro del segundo grupo son varios los alimentos que condicionan tinciones, algunos de consumo habitual como el café (Fig. 16), té, vino, cola, etc... Se sabe por muchos estudios que ciertos compuestos de estas sustancias, concretamente los polifenoles, llamados taninos, tienden a unirse a la película adquirida que se forman sobre la superficie del esmalte que actúa como mediador, aumentando la capacidad de coloración (80,82-84). Con respecto a que alimentos tiñen más, los estudios no se ponen de acuerdo, de forma que mientras que en algunos nos presentan el té y el vino como los más pigmentantes, en otros son la cola y el café (79, 81,82). El acumulo de estas sustancias es menor en aquellas zonas de desgaste y abrasión, como los puntos de contacto, las superficies proximales y las palatinas (85,86).

 

Image
Fig.16. Coloración por café.

 

 En ocasiones cuando el contacto con la sustancia cromógena es muy prolongado en el tiempo, el colorante es capaz de asociarse al 4% de contenido orgánico del esmalte, transformándose en una coloración intrínseca, y oscureciendo de forma permanente el color del diente (54).

 b) Tabaco : otro factor a considerar es el hábito de fumar (Fig. 17), ya sea cigarrillos, puros o pipa. Son varios los estudios que demuestran cómo existe una clara diferencia entre la presencia de tinciones en los dientes de los fumadores y los no fumadores (87, 88), de forma que, mientras que en los fumadores el 28% presentan tinciones, en el grupo de no fumadores tan sólo el 15% las presentaban (88).

 

Image
Fig.17. Coloración extrínseca por tabaco.

 

 El mecanismo de acción es similar al de los alimentos, salvo que en estos casos se trata de la nicotina y el alquitrán los que se depositan en la superficie dental o incluso llega a penetrar en los túbulos dentinarios, siendo muy difícil su eliminación. (Fig. 18).

 

Image
Fig.18. Coloración intrínseca por tabaco.
 

 

 c) Clorhexidina : es un hecho conocido que el uso regular de enjuagues de clorhexidina para controlar la placa bacteriana en pacientes periodontales, provoca la aparición de manchas de color negro en la superficie de los dientes (Fig. 19). Éstas se producen por reacción de oxidación cuando reacciona con los componentes salivares. Factores como la susceptibilidad personal, el uso de agentes blanqueantes, la técnica de cepillado, el uso de antiadherentes, la concentración de clorhexidina y el tiempo de uso (89-91), pueden variar la formación o no de las tinciones. Hay varias teorías que explican las tinciones de clorhexidina, pero la más verosímil parece ser la que explica la tinción por precipitación de aminos de la dieta cromógena con los cationes de la superficie dental de forma que se unen al diente tiñendolo. A pesar de todo, la susceptibilidad personal es muy importante.

 

Image
Fig.19. Coloración por Clorhexidina.

 

 También se han descrito tinciones con el uso prolongado de otros enjuagues bucales como antisépticos cianoticos (92), aceites esenciales fenólicas (listerine) o un uso prolongado de delmonipol (92).

 2. Tinciones metálicas.

 Las tinciones metálicas se producen en pacientes que por cuestiones laborales, o  por ingesta de medicamentos, entran en contacto con sales de distintos minerales, que posteriormente precipitan en la boca. (93). El color va a depender del tipo de sustancia o mineral, y así, el hierro,  produce pigmentos negros, el cobre verdosos, el potasio violeta hacía negro, el nitrato de plata gris y el fluoruro estañoso marrón dorado (4).

 El mecanismo de producción no se conoce con certeza aunque se piensa que puede ser como consecuencia de la formación de sales de azufre, aunque esta teoría se olvida del proceso químico tan complejo necesario para formar un sulfuro (4).

 Hay que tener también en consideración que la ingesta de hierro u otros minerales o el contacto con ellos no implicará la aparición de tinciones ya que si se mantiene una buena higiene, el cambio de color no tiene porque producirse (94).

 3. Tinciones bacterianas.

 El depósito de ciertas bacterias o de sustancias bacterianas en los dientes también pueden provocar cambios en el color de tipo externo. Son cuatro los depósitos bacterianos coloreantes que en función del color se dividen en:

 a) Materia alba y sarro : se trata de un depósito blanco amarillento que se compone de bacterias, células epiteliales, restos alimenticios, proteína salivares, etc.... que se depositan en la superficie dental cuando el paciente no se cepilla durante unos días. Es de poca consistencia pero puede tener espesores bastante grandes que están poco cohesionados y poco adheridos. Cuando transcurre cierto tiempo esta placa bacteriana puede calcificarse formando el sarro o tártaro que se presenta como un depósito más denso y duro de color amarillo de localización supragingival (Fig. 20), o negro en infragingival, pero que puede colorearse con otros pigmentos, como por ejemplo el tabaco. Estos depósitos se desprenden con dificultad ya que están adheridos al diente.

 

Image
Fig.20. Materia alba y sarro.

 

 b) Depósitos verdes : aparecen sobre todo en niños y adolescentes con mala higiene aunque su origen no se conoce muy bien (Fig. 21). El pigmento verde es la fenacina que se produce por bacterias (bacilo piociánico) y hongos de la cavidad oral, aunque otros autores consideran que pueden ser depósitos de derivados de la hemoglobina procedentes de la gingivitis. Su espesor es variable, aunque a veces desaparece con la adolescencia.

 

Image
Fig.21. Depósitos verdes.

 

 c) Depósitos naranjas : se presentan como pequeñas manchas irregulares de color naranja intenso, especialmente en las zonas cervicales vestibulares de dientes anteriores (Fig. 22), igual que los depósitos anteriores. Pueden afectar a uno o varios dientes y son depósitos poco adheridos, de forma que pueden desaparecer con el cepillado. Son raros de ver y su etología se relaciona con microorganismos del tipo bacilo prodigioso, bacilo mesentérico ruber, sarcina roseus, etc....

 

Image
Fig.22. Depósitos naranjas.

 

 d) Depósitos negros : esta tinción puede parecer en adultos (Fig. 23) como en niños aunque es más frecuente en dentición temporal (Fig. 24). Se presenta como manchas pequeñas y frecuentes de color negro ligadas al borde gingival. La intensidad del color es variable según el paciente, pero no se relacionan con la higiene,  sino que por contra, algunos autores determinan un bajo índice de caries en estos niños y adultos (95). Su origen no está claro aunque sí parece cierto que se trata de depósitos de sales ferrosos procedentes de la dieta y metabolizadas por las bacterias de la flora (96). Tras ciertos estudios se ha comprobado como estos individuos tienen ciertos cambios en la composición de su saliva de forma que presentan unas concentraciones mayores de calcio, fósforo, cobre, glucosa, sodio y menos proteínas (96). En cualquier caso se trata de manchas sin trascendencia clínica que sólo representa un problema estético y no de salud y que además suelen desaparecer en la adolescencia.

 

Image
Fig.23. Depósitos negros en dentición definitiva.

 

 Tratamiento de las tinciones bacterianas : el tratamiento de todas estas coloraciones extrínsecas consiste fundamentalmente en la realización de limpiezas o tartrectomías con pulidos, cambio de hábitos y mejora de la higiene. Sólo en ciertos casos muy concretos la coloración se hace intrínseca como es el caso de las tinciones metálicas o de los fumadores de largo tiempo, y se requiere de tratamientos blanqueantes ya sean internos o externos, o incluso eliminar el tejido teñido.

BIBLIOGRAFÍA
1. Joiner A. Tooth colour: a review of the literature. J  Dent. 2004; 32 (suppl): 3-12
2. O´Brien WJ, Hemmendinger H, Boenke KM, Linger JB and Groh CL. Color distribution of three regions of extracted human teth. Dent Mater 1997; 13: 179-85.
3. Van der Burgt TP, Ten Bosch JJ, Borsboom PCF and Kortsmit JPM. A comparision of a new and conventional methods for quantification of tooth color. J Prosthet Dent 1990; 63: 155-62.
4. Watts A, Addy M. Tooth discolouration and staining: a review of the literature. Br Dent J 2001; 19: 309-16.
5.  Hill AR. How we see colour. En: Mc Donal R, (ed): Colour physics for industry, H. Charlesworth & Co Ltd, Huddersfield, 1987: 211-81.
6. Paul S, Peter A, Pietroban N, Hammerle CHF. Visual and spectrophotometric shade analisys of human teeth. J Dent Res 2002; 81: 578-82.
7. Ragain JC, Johnston WM. Color acceptance of direct dental; retoratives by human observers. Color Res Appl 2000; 25: 278-85.
8. Tung FF, Goldstein GR, Jang S, Hittelman E. The repeatibility of an intraoral dental colorimeter. J Prosthet Dent 2002; 88: 585-90.
9. Okubo SR, Kanawati A, Richards MW, Childress S. Evaluation of visual and instrument shade machining. J Prosthet Dent 1998; 80: 642-48.
10. Goldstein GR, Schmitt GW. Repeatibility of a specially designed intraoral colorimeter. J Prosthet Dent 1993; 69: 616-19.
11. O´Brien WJ, Nelson D, Lorey RE. The assessment of chroma sensitivity to porcelain pigments. J Prosthet Dent 1983; 49: 63-5.
12. Jonhston WM, Kao EC. Assessment of apparence match by visual observation and clinical colorimetry. J Dent Res 1989; 69: 616-9.
13. Bolt RA, Ten Bosch JJ, Coops JC. Influence of window size in small-window colour measurement, particularly of teeth. Phys Med Bio 1994; 39: 1133-42.
14. Gerlach RW, Barker ML, Sagel PA. Objective and subjective whitening response of two self-directed bleaching systems. Am J Dent 2002; 15: 7ª-12A.
15. Gerlach RW, Gibb RD, Sagel PA. A randomized clinical trial comparing a novel 5.3% hydrogen peroxide bleaching strip to 10%, 15% and 20% carbamide peroxide tray based bleaching systems. Compend Contin Educ Dent 2000; 21: S22-8. quiz S42-3
16. Bentley C, Leonard RH, Nelson CF, Bentley SA. Quantitation of vital bleachung by computer analysis of photographic images. J Am Dent Ass 1999; 130: 809-16.
17. Mc Caslin, Haywood VB, Potter BJ, Dickinson GL, Russell CM. Assessing dentin color changes from nigthguard vital bleaching. J Am Dent Ass 1999; 130: 1485-90.
18. Lath DL, Guan YH, Lilley TH. Comparison of colorimetry and image analysis for quantifying tooth whiteness - a preliminary study. In: Brook A, (Ed): Dental Morphology 2001, Academic Press, Sheffield, (England) 2001: 229-37.
19. O´Brien WJ, Jonhston WM, Fanian F. double-layer color effects in porcelain systems. J Dent Res 1990; 64: 940-3.
20. Vaarkamp J, Ten Bosch JJ, Verdonschot EH. Porpagation of ligth through human dental enamel an dentine. Caries Res 1995; 29: 8-13.
21. Ko CC, Tatbirojn D, Wang T, Douglas WH. Optical scattering power for characterization of minerla loss. J Dent Res 200; 79: 1584-9.
22. Ten Bosch JJ, Coops JC. Tooth color and reflectance as related to light scattering and enamel hardness. J Dent Res 1995; 74: 374-80.
23. Terry Da, Geller W, Tric O, Andreson MJ, Tourville M, Kobashigawa A. Anatomical from defines color: function, from and aesthetics. Pract Proced  Aesthet Dent 2002; 14: 59-67.
24. Winter R. Visualizing the natural dentition. J Esthet Dent 1993; 5: 102-17.
25. Vallittu PK, Vallittu ASJ, Lassila VP. Dental aesthetics- a surveyof attitudes in differentgroups of patients. J Dent 1996; 24: 335-8.
26. Grosofsky A, Adkins S, Bastholm R, Meyre L, Krueger L, Meyer J, Torma P. Tooth color: effects on judgments and attractiveness and age. Precept  Mot Skills 2003; 96: 43-8.
27.  Ashworth P, Davis L, Spriggs L. Personal cange resulting from porcelain venner treatment to improve the appearance of the teeth. Psycology, Health and Medicine 1996; 1: 57-69.
28. Odioso LL, Gibb RD, Gerlach RW. Impact of demographic, behavioural and dental care utilization parameters on tooth color and personal satisfaction. Comp Continuing Education in Dentistry 2000; 21: S35-41 quiz S43.
29. Russell MD, Gulfraz M, Moss BW. In vivo measurement of colour changes in natural teeth. J Oral Rahabil 2000; 27: 786-92.
30. Jahangiri L, Reinhardt SB, Mehra RV, Matheson PB. Relationship between tooth shde value and skin color: an observational study. J Prosthet Dent. 2002; 87: 149-52.
31. Goodkind RJ, Keenan K, Schwabacher WB. Use of a fiber-optic colorimeter for an in vivo color measurement of 2830 anterior teth. J Prosthet Dent 1990; 64: 425-31.
32. Zhao Y, Zhu J. In vivo color measurement of 410 maxilary anterior teeth. The Chin J Dent Res 1998; 3: 49-51.
33. Hasegawa A, Motonomi A, Ikeda I, Kawaguchi S. color of natural tooth crown in Japanese people. Color Res Appl 2000; 25: 43-8.
34. Hasegawa A, Ikeda I, Kawaguchi S. color and translucency of in vivo natural central incisors. J Prosthet Dent 2000; 83: 418-23.
35. Watanabe K, Shibata T, Kurosawa T, Morisaki I, Kinehara M, Igarashi S, Arisue M. Bilirubin pigmentation of human teeth caused by hyperbilirubinemia. Oral Pathol Med 1999; 28: 128-30.
36. Alto LA, Pomarico L, Souza IP, Janini ME. Green pigmentation of deciduous teeth: report of two cases. Jdent Child (Chic) 2004; 71: 179-82.
37. Touati B, Miara P,Nathanson D. Trasmisión del color y de la luz. En: Odontología estética y restauraciones cerámicas. Barcelona Ed. Masson; 2000: 39-60.
38. Nadal-Valldaura A. Coloraciones y tinciones. En: Nadal-Valldaura A : Patología Dentaria, Barcelona, Ed Rondas 1987: 165-78.
39. Sundell S, Koch G. Hereditary amelogenesis imperfecta: epidemiology and classification in a Swedish child population. Swed Dent J 1985; 9: 157-69.
40. Gopinath VK, Al-Salihi KA, Yean CY, Ann MC, Ravichandran M. Amelogenesis imperfecta: enamel ultra structure and molecular studies 2004: J Clin Pediatr Dent; 28: 319-22.
41. Rao S, Witkop CJ Jr. Inherited defects in tooth structure. Birth defects (Original Article Series) 1971; 7: 153-84.
42. Shields ED, Bixler D, el-Kafrawy AM. A proposed classification for heritable human dentine defects with a description of a new entity. Arch Oral Biol 1973; 18: 543-53.
43. Ranta H, Lukinmaa PL, Waltimo J. Heritable dentine defects: nosology, pathology, and treatment. Am J Med Genet 1993; 45: 193-200.
44. Schwartz S, Tsipouras P. Oral findings in osteogenesis imperfecta. Oral Surg Oral Med Oral Pathol 1984; 57: 161-7.
45. Levin LS. The dentition in osteogenesis imperfecta syndromes. Clin Orthop 1981; 159: 64-74.
46. O´Conell Ac, Marini JC. Evaluation of oral problems in an osteogenesis imperfecta population. Oral Surg Oral Med Oral Pathol Oral Radiol Endod 1999; 87: 189-96.
47. Croll TP, Sasa IS. Carbanide peroxide bleaching of teeth with dentinogenesis imperfecta discoloration: report of a case. Qintessence Int 1995; 26: 683-6.
48. Schuster A, Shwachman H,. The tetracyclines: applied farmacology. Pediat Clin North Am 1956; 3: 295 303.
49. Davies PA, Little K, Aherne W. Tetracyclines and yellow teeth. Lancet 1962; 1: 742-3.
50.  Wallman IS, Hilton HB. Teeth pigmented by tetracycline. Lancet 1962; 1: 827-9.
51. Andrés R, Roy S, Phillip J. tetracycline an other tetracycline-derivative staing of the teeth and oral cavity. Int J Dermatology 2004; 43: 709-15.
52. Eisenberg E, Bernick SM. Anomalies of the teeth with stains and discolorations. J Prev Dent 1975; 2: 7-20.
53. Van der Bijl P, Pitigoi-Aron G. tetracyclines and calcified tissues. Ann Dent 1995; 54: 69-72.
54. Jané L. Evaluación clínica de tres sistemas de blanqueamiento dental. Tesis Doctoral. Barcelona, Mayo, 2004.
55. Di Benedetto DC. Tetracycline staining in an adult. J Mass Soc 1985; 34:217.
56. Chiappinelli JA, Walton RE. Tooth discoloration resulting from long-term tetracycline therapy: a case report. Quintessence Int 1992; 23: 539-41.
57. Cale AE, Freedman PD, Lumerman H. Pigmentation of the jawbones and teeth secondary to minocyclines hydrochloride therapy. J Periodontol 1988; 59: 112-4.
58. Primosh RE. Tetracycline discoloration, enamel defects and dental caries in patient with cystic fibrosis. Oral Surg Oral Med oral Pathol 1980; 50: 301-8.
59. Martin ND, Barnard PD. The prevalence of tetracycline staining in erupted teeth. Med J Austr; 1: 1286-89.
60. Poliak SG, Di Giovanna JJ, Gross EG. Minocycline-associated tooth discoloration in young adults. JAMA 1985; 254: 2930-2.
61. Bowles WH, Bokmeyer TJ. Staining adult teeth by minocycline: binding of minocycline by specific proteins. J Esthet Dent 1997; 9: 30-4.
62. Bowles WH. Protection against minocycline pigment formation by ascorbic acid (Vitamin C). J Estheti Dent 1998; 10: 182-6.
63. Cheek CC, Heymann HO. Dental and oral discolorations associated wiht minocycline and other tetracycline analogs. J Esthet Dent 1999; 11: 43-8.
64. Matson KL, Miller Se. tooth discoloration after treatment with linezolid. Pharmacotherapy 2003; 23: 682-5.
65. De Wit ME, Stricker BH, Porsius AJ. Discoloration of teeth by drugs. Ned Tijdschr Tandheelkd 1996; 103: 3-5.
66. Garcia-Lopez M, Martínez-Blanco M, Martínez-Mir I, Palop V. Amoxycillin-Clavulanic acid-related tooth discoloration in children. Pediatrics 2001; 108: 819.
67. Shin DM, Summit JB. The whitening of bleaching agents on tetracycline-stained rat teeth. Oper Dent 2002; 27: 66-72.
68. Leonard RH Jr, Haywood VB, Eagle JC, Garland GE, Caplan DJ, Mathews KP, Tart ND. Nightguard vital bleaching of tetracycline-stained teeth: 54 months post treatment. J Esthet Dent 1999; 11: 265-77.
69. Chen JH, Shi CX, Wang M Zhao SJ, Wang H. Clinical evaluation of 546 tetracycline-stained teeth tretated with porcelain laminate veneers. J Dent 2005; 33: 3-8.
70. Anitua E, Zabalegui B, Gil J, Gasco F: Internal bleaching of severed tetracycline discolorations: four-years clinical evaluation. Quintessence Int 1990;21(10): 783-8.
71. Bachmann L, Sena T, Stolf F, Zezell M. Dental discoloration after thermal treatment. Arch Oral Biol 2004; 49: 233-8.
72. Endris R Berrsche R. Color change in dental tissue as a sing of thermal damage. Z Rechtsmed 1985; 94: 109-20.
73. Alkhatib MN, Holt R, Bedi R. Age and perception o f dental appearance and tooth colour. Gerodontology 2005; 22: 32-6.
74. Morley J. The esthetics of anterior tooth aging. Current Opinion in Cosmetic Dentitry 1997; 4: 35-9.
75. Zhou JP, Chen LP, Dong HB, Zhang FQ. The fluctuation of anterior teeth colouration during the period of growth puberty in children and adolescents. Shanghai Kou Quiang Yi Xue 2003; 12: 338-40.
76. Sainio P, Syrjanen S, Keijala JP, Parviainen AP. Postmorten pink teeth phenomenon: an experimental study and a survey of literature. Poc Finn Dent Soc 1990; 86: 29-35.
77. Aguilo L, Gandia JL. Transient red discoloration: report of case. ASDC J Dent Child 1998; 65: 346-8,356.
78. Bonilla V: Estudio comparativo del diagnóstico “in vitro” de la caries de superficie proximal con radiografía convencional y laservisiografía en 145 dientes del sector posterior. Tesis Doctoral. Sevilla,  Julio, 1998.     
79. Wei Sh, Ingram MI. Analysis of the amalgam tooth interface using electron microprobe. J Dent Res 1969; 48: 317-20.
80. Bagheri R, Burrow MF, Tyas M. Influence of food-simulating solutions and surface finis on susceptibility to staining of aesthetic restorative materials. J Dentist 2005; 33: 389-98.
81. Van der Burgt TP, Mullaney TP, Plasschaert AJ. Tooth discoloration induced by endodontic sealers. Oral Surg Oral Med Oral Pathol 1986; 61: 84-9.
82. Proctor GB, Pramanik R, Carpenter GH, Rees GD. Salivary proteins interact with dietary constituents to modulate tooth staining. J Dent Res 2005; 84: 73-8.
83. Chan KC, Fuller JL, Hormati AA. Tha ability of foods to stain two composite resin. J Prosthet Dent. 1980 May;43:542-5.
84. Joiner A, Muller D, Elofsson U, Malmsten M, Arnebrant T. Adsorption from black tea and red wine onto in vitro salivary pellicles studied by ellipsometry. Eur J Oral Sci 2003; 111: 417-22.
85. Lobene RR. Affect to dentifrices on tooth stains with controlled brushimg. J Am Dent Assoc 1968; 77: 849-55.
86. Forward GC. Role of tooth pastes in the cleaning of teeth. Int Dent J 1991; 41: 164-70.
87. Ness L, Rosekrans DL, Welford JF. An epidemiologic study of factors affecting extrinsic staining of teeth in an English population. Cmmunity Dent Oral Epidemiol 1977; 5: 55-60.
88. Alkhatib MN, Holt RD, Bedi R. Smoking and tooth discolouration: findings from a national cross-sectional study. BMC Public Health 2005; 5: 27.
89. Tilliss TS. Use of a whitening dentifrice for contorl of chlorhexidine stain. J Contemp Dent Pract 1999; 15: 9-15.
90. Tilliss TS, Stach DJ, Cross-Poline GN. Use of toothpicks for chlorhexidine staining. J Clin Periodontol 1992; 19: 398-400.
91. Addy M, Moran J, Newcombe R, Warren P. the comparative tea staining potential of phenolic, chlorhexidine and antiadhesive mouthrinses. J Clin Periodontol 1995; 22: 923-8.
92. Claydon N, Hunter L, Moran J, wade W, Kelty E, Movert A, Addy M. A 6-month home usage trail of 0'1% and 0'2% delmopinol mouthwashes. Effects on plaque, gingivitis, supragingival calculus and tooth staining. J Clin Periodontol 1996; 23: 220-8.
93. Addy M, Roberts WR. The use of polymethacrylate to compare the adsoprtion of staining reactions of some cationic antiseptics. J Periodontol 1981; 52: 380-5.
94. Lokken P, Birkeland JM. Dental discolorations and side effects with iron and placebo tablets. Scand J Dent Res 1979; 87: 275-8..
95. Theilade J, Slots J, Fejerskov O. The ultrastructure of black stain on human primary teeth. Scan J Dent Res 1973; 81: 528-32.
96. Paredes V, Paredes C. Tinción cromógena: un problema habitual en la clínica pediátrica. Anales de Pediatría 2005; 62: 258-60.

 

 
Publicado el: 21/02/2007 17:17:31

Volver