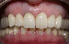
Autores: Luis Javier Gil Villagrá, profesor asociado de prótesis estomatológica en la Universidad Europea de Madrid José Alberto Coll Sancho, práctica privada en Madrid Dirección para correspondencia: Dr. L J Gil Villagrá C/ Capitán Haya, 49, 1º B 28020. Madrid Telf y Fax. 91 570 94 92 Correo: ljgilvgra@telefonica.net RESUMEN La consecución de la belleza ha sido una de las grandes metas de la humanidad desde todos los tiempos. La lucha por alcanzar la misma, ha inspirado a todas las artes y ha motivado a los profesionales de todos los campos de alguna manera. La odontología no ha sido ajena a ello y una de las grandes líneas de investigación, acentuada durante los últimos años, ha sido la obtención de materiales y restauraciones con un alto grado estético. En el campo de la prótesis, los esfuerzos se han dirigido principalmente a la consecución de restauraciones de porcelana sin metal con un alto grado de mimetismo con el diente natural. Para conseguir esto, se ha incrementado la resistencia de las nuevas cerámicas con el fin de poderlas utilizar en la mayoría de las situaciones en el sector anterior, así como se han mejorado las cualidades de adaptación y de transparencia1,2,3. Aún así todavía quedan muchas preguntas por responder tales como hasta cuántas piezas podemos reponer con este tipo de restauraciones; cuándo podemos optar por restauraciones de recubrimiento parcial frente a las restauraciones de recubrimiento total; cuál es la influencia de la oclusión; o cómo debemos de manejar los diferentes tipos de materiales frente a los distintos casos clínicos. El presente artículo tratará de aportar algo de luz sobre estos temas, ofreciendo la base científica de la que se dispone hasta este momento. PALABRAS CLAVE Restauraciones de cerámica sin metal; carillas de porcelana; coronas Jacket INTRODUCCIÓN De cara a la restauración con prótesis fija sin metal en el sector anterior podemos considerar tres bases sobre las que sustentarnos: La primera se refiere a la importancia de la belleza y la estética en nuestra sociedad. La segunda partiría del concepto de la estética entendida como imitación de la naturaleza. El paciente hoy en día busca una sonrisa bella y armoniosa pero que sea compatible con una dentición que se de en la naturaleza, pensando la persona que lo ve que dicha boca es congénita. Dicho de otra forma, ahora se huye de la estética artificial de los dientes de oro o con formas que no se dan en la naturaleza. La tercera, parte de la idea de que la porcelana, en la actualidad es el mejor material empleado en prótesis estética. El desarrollo de la investigación de materiales ha ido introduciendo variaciones en las cerámicas impensables hace solo pocos años. Tradicionalmente la cerámica se ha definido como un material inorgánico de naturaleza mineral no metálico4,5, que es modelado y luego solidificado mediante altas temperaturas; o bien como un material compuesto por una matriz vítrea y un relleno cristalino. Hoy en día, podemos disponer de cerámicas con rellenos metálicos como el zirconio, así como de porcelanas que no disponen de matriz vítrea sino que son de un relleno cristalino cercano al cien por cien como la cerámica Procera R alúmina. Históricamente se han aceptado tanto los términos de cerámica como de porcelana para las restauraciones dentales, aunque se le da el matiz de cerámica más fina y desarrollada a la porcelana. Hoy en día su uso es indistinto. Las posibilidades de las que disponemos actualmente son numerosas6,7: – Las Porcelanas feldespáticas, que son las que aparecieron primero y las que a día de hoy continúan siendo las de mayor translucidez y belleza. – Las Porcelanas aluminosas, segundas que aparecieron en orden de cronología y que supusieron una mejora en cuanto a la resistencia a la compresión. – En tercer lugar aparecen las Porcelanas vitrocerámicas, mejorando tanto la resistencia como la traslucidez de las antiguas cerámicas aluminosas de Mc. Lean. – Sistemas basados en zirconio, de reciente aparición, que a día de hoy suponen la máxima resistencia a la compresión. – Dentro de los diferentes materiales, también existen diferencias respecto a las técnicas de manipulación, encontrándonos diferentes técnicas de procesado como sobre muñón refractario; porcelanas coladas; o procesos CAD-CAM – Por último, disponemos de otros sistemas diferentes como composites de nueva generación foto y termocurados, diseñados para abrir otra vía alternativa a las cerámicas. A pesar de las diferentes posibilidades de que disponemos, nos encontramos con una serie de problemas aún por resolver entre las que cabe destacar la menor resistencia8 de este tipo de restauraciones frente a las restauraciones metal-porcelana pese a las mejoras introducidas en los últimos tiempos. En segundo lugar, debemos de tener en consideración que a mayor translucidez menor resistencia, por lo que todos los logros conseguidos en el incremento de esta última han traído como consecuencia un aumento de opacidad y una pérdida de belleza respecto a las cerámicas feldespáticas. En tercer lugar, se debe tener en cuenta que a mayor resistencia mayor necesidad de espacio protético, por lo que supone de incremento en el grosor de los núcleos y el incremento necesario en la conformación de los conectores. Por todo ello, la importancia del estudio de cada caso radica en cómo elegir el mejor material para cada caso. Las ventajas de las porcelanas radican en ser el material mas idóneo en el momento actual para imitar el diente natural, no consiguiéndose una traslucidez y belleza semejantes con ningún otro tipo de material. Por otra parte la porcelana supone la máxima longevidad estética, por cuanto supone un material pulido que capta pocos tintes, no deteriorándose su color con el transcurso de los años ni captando placa bacteriana, siendo su biocompatibilidad de las más altas dentro de los materiales utilizados en prótesis. Por otra parte, las porcelanas dentales proporcionan hoy en día la suficiente resistencia ante las fuerzas oclusales como para ser empleadas tanto en sector anterior como en el posterior. Los inconvenientes de las porcelanas radican, en primer lugar, en la necesidad de un tallado mas agresivo respecto a las restauraciones de metal-cerámica con reborde marginal metálico en la zona no estética, dado que en el caso de las restauraciones totalmente cerámicas el margen de la preparación se debe de realizar igual en todo el perímetro. En segundo lugar, las restauraciones de porcelana sin metal exigen un cementado mas complejo9,10,11, dado que en la mayoría de las situaciones exigen un cementado adhesivo. Por último, la tecnología de laboratorio es mas sofisticada, requiriendo en algunas ocasiones sistemas CAD-CAM o material específico para cada sistema. Dada la variedad de materiales cerámicos existentes en la actualidad, las porcelanas dentales se pueden clasificar de muchas maneras, pero la más interesante para nosotros es la clasificación según la carga cristalina, basada en el porcentaje de composición de las dos fases que forman las porcelanas, la fase vítrea y la fase cristalina. La evolución se dirige a un aumento o modificación de la fase cristalina para mejorar las propiedades mecánicas y controlar las propiedades ópticas. Siguiendo esta clasificación, nos encontraríamos con las siguientes categorías5,12: En primer lugar se encontrarían las porcelanas predominantemente vítreas, con bajo contenido en fase cristalina. A este tipo de cerámicas corresponden las porcelanas feldespáticas. En segundo lugar se encuentran los vidrios rellenos de partículas, con una mayor carga de relleno de cristales. Las cerámicas representativas de esta categoría serían la EMPRESS II, e-max y la IN-CERAM4,6. Por último, se encontrarían las cerámicas policristalinas, porcelanas carentes de fase vítrea que generalmente llevan un procesado por sistemas CAD/CAM, y presentan una contracción del 30% del volumen cuando se sinterizan. Ejemplos de este tipo de cerámicas serían las PROCERA alúmina y zirconio4,13,14 y LAVA5,15. La clasificación según el relleno cristalino determina las diferentes resistencias de los materiales cerámicos, siendo mayor esta cuanto mayor sea la carga cristalina, determinándonos la siguiente clasificación según la resistencia: • Baja resistencia: feldespáticas • Resistencia moderada: cerámicas vítreas • Alta resistencia: – In-Ceram – Procera Alumina – Sistemas de óxido de zirconio – Coronas metal-porcelana La preparación necesaria para las restauraciones de estos tipos de cerámica partiría de una profundidad de tallado en caras axiales y oclusales de 1,3 a 2 mm en zonas que se necesite más traslucidez. Respecto a los márgenes de terminación, se podría resumir diciendo que la mayoría de los fabricantes recomiendan un hombro redondeado de al menos 1 mm de espesor, salvo la casa Procera que recomienda un chamfer profundo de 0,8 a 1,5 mm según los casos, no aceptándose el hombro debido a que su escaneado es mecánico y no puede reproducir ángulos. Por otro lado, se podría matizar que la mayoría de las cerámicas aceptan un chamfer profundo del suficiente grosor. SELECCIÓN DEL CASO La elección en la clínica del tipo de restauración y del material a emplear se basará en las siguientes premisas: En primer lugar la necesidad de estética en el sector anterior será mayor que en zonas posteriores, por lo tanto habrá que seleccionar una porcelana adecuada para cada caso y cada indicación según su traslucidez y resistencia. En segundo lugar, debido a la menor resistencia de este tipo de materiales respecto a las restauraciones metal-cerámica, deberá tenerse en consideración que las prótesis de cerámica sin metal solamente permiten realizar coronas o facetas unitarias ó puentes para la reposición de 1 a 2 dientes con una longitud y curvatura de brecha escasa, al mismo tiempo que con un espacio protético suficiente para conectores. Los límites en el uso de estos materiales, están relacionados por la función ejercida por el paciente existiendo una contraindicación clara en los casos de parafunción acentuada. Por otra parte, relacionado también con su menor resistencia se evitarán las prótesis con extensiones y las prótesis realizadas no permitirán la incorporación de ataches a su estructura. A la hora de la planificación del caso deberemos hacernos dos preguntas fundamentales: 1. ¿Qué color de sustrato presentan los dientes a restaurar? y 2. ¿Qué oclusión tiene el paciente? La respuesta de estas preguntas llevará implícita dos implicaciones respecto al tipo de cerámica a elegir, a saber la translucidez que necesitamos del material y su resistencia. Respecto a la traslucidez, debemos partir de la base de que ningún sustrato es hoy en día inadecuado para la colocación de una restauración de porcelana Fig.1 y 2. El criterio de elección del tipo de cerámica dependerá del color del diente a restaurar. Cuanto más oscuro sea el sustrato, menor translucidez admitirá a la cerámica. La translucidez de las diferentes cerámicas se puede graduar de la siguiente forma de mayor a menor grado: porcelanas feldepáticas, in-ceram spinell, empress 2, procera alúmina e in-ceram alúmina, in-ceram zirconia, lava, y metal- cerámica.  
Respecto a la resistencia, la clasificación de los materiales sería la inversa a la anterior, de tal forma que las cerámicas más resistentes corresponderían a las policristalinas que, a su vez resultan ser las más opacas. Los valores oscilan entre los 1.100 MPa de las cerámicas basadas en zirconia y los 150 MPa de las cerámicas feldespáticas. Como consecuencia de lo anterior, siempre habrá que intentar encontrar el equilibrio entre la máxima estética y la resistencia adecuada a cada caso, sabiendo que desde el punto de vista de la elección de la cerámica son parámetros opuestos. El árbol de decisiones propuesto se refleja en la Fig.3. Si se van a colocar restauraciones de cerámica sin metal en el sector anterior, lo primero que hay que valorar es si se van a tratar de restauraciones unitarias o múltiples (coronas ferulizadas o puentes), teniéndose en cuenta posteriormente en cada caso el tipo de oclusión y el tipo de sustrato. 
Comenzando con las restauraciones unitarias, la primera decisión a tomar en la planificación del tratamiento será el tipo de restauración protética a realizar, teniéndose la opción de colocar coronas jacket o carillas de cerámica. La decisión se debe tomar teniendo en consideración la cantidad de diente destruido y la necesidad de cambiar la oclusión de los dientes a tratar o no. Respecto al primer tema, cuanto mayor sea el grado de destrucción mayor tendencia se tendrá a proteger el diente con una corona de recubrimiento total. Por el contrario, cuanto menor sea su grado de deterioro, mayores posibilidades tendremos de un tratamiento más conservador con las facetas de cerámica. En cuanto al segundo punto a analizar, nos encontraremos a menudo con situaciones en el que el tratamiento de un sector antero-superior no permite mantener la morfología palatina por necesidad de crear o mejorar la guía anterior o canina. En estos casos, dependiendo de la zona donde ocluyan los bordes incisales inferiores, se requerirá de un remodelado mayor de esta cara palatina que la que nos pueden ofrecer las carillas, sugiriéndonos la utilización de coronas jacket. Por otra parte, se deben tener en cuenta las alteraciones del espacio existente con el antagonista, de tal forma que cuando se disponga de poco espacio existente se indicarán mejor las carillas, mientras que en situaciones de gran espacio se podrán colocar coronas sin riesgo de fractura por falta de espesor de la cofia en la zona oclusal. La mejor forma de poder estudiar el caso y prever el resultado es manejar modelos de estudio y montarlos en un articulador semiajustable. Una vez visto el caso inicial y sus relaciones oclusales, mediante un encerado podemos ver la estética y la oclusión final que se obtendría, así como las necesidades de tallado y tipo de preparaciones que se requerirían para llegar a la situación del encerado. 
La primera pregunta que debemos plantearnos cuando estamos ante un caso de restauraciones unitarias fig.4 es el tipo de oclusión que presenta el paciente. Aquí se nos pueden plantear dos opciones: la primera sería la de una oclusión favorable, con una guía anterior y lateral armónica sin facetas de desgaste acusadas y con el paciente adaptado a su oclusión. En estos casos se puede deducir que las cargas que recibirán nuestras restauraciones serán controladas tanto en movimientos céntricos como excéntricos y que no se va a necesitar una alta resistencia. Posteriormente estudiaremos el tipo de sustrato que se nos presenta, entendiendo como tal la coloración de fondo que presentan los dientes a restaurar. Si se nos presenta un color adecuado, en el que no tengamos que camuflar un tono muy oscuro, podremos optar por las cerámicas mas traslúcidas, que como se sabe son las mas bellas, siendo el máximo exponente las cerámicas feldespáticas y, en segundo lugar los vidrios infiltrados tales como las cerámicas Empress II o E-max. Sin embargo, cuando se presente un sustrato mas inadecuado y se presente la necesidad de opacificar un color oscuro, se deberá recurrir a porcelanas más opacas, que no nos dejen traslucir el sustrato. En estos casos, las cerámicas más indicadas serán las Vita In-ceram y las aluminosas tipo procera-alúmina. Existe un segundo tipo de casos en los que al estudiarlos en el articulador se observan oclusiones desfavorables que no se pueden modificar sin tratamientos extensos, tales como sobremordidas de moderada intensidad, apiñamientos inferiores que provocan guías anteriores desequilibradas o pacientes con hábitos bruxistas de moderada intensidad. En estos casos, la elección de la cerámica tiene que partir de porcelanas de alta resistencia, partiendo como primera opción de la In-Ceram alúmina, optando por las policristalinas de alta opacidad cuando, además, el sustrato sea especialmente negativo, teniendo en estos casos como opción más segura las basadas en zirconia. Como ejemplo clínico de toma de decisiones en restauraciones unitarias se muestran en las figuras 5, 6, 7 y 8 el caso de una paciente con alteraciones de color por tinción por tetraciclinas, pequeñas alteraciones estructurales por fractura de dos ángulos incisales y alteraciones en la guía anterior, tratada con carillas procera-alúmina. Se eligieron las restauraciones con facetas frente a las coronas jacket por la poca pérdida de estructura dentaria y la posibilidad de restaurar una guía anterior adecuada modificando solamente el tercio incisal palatino. Por otra parte, la elección del material opaco fue debido a la existencia de un sustrato difícil de ocultar con porcelanas translúcidas.  
 
Una recomendación a seguir cuando se realicen restauraciones unitarias de varios dientes es no combinar diferentes tipos de cerámica en la misma arcada, dado que los distintos grados de traslucidez se pueden manifestar con diferentes tipos de luz. Fig. 9 y 10.  
Respecto a las prótesis parciales fijas, Fig, 11 la elección del material estará determinada también en un primer momento por la oclusión, de tal forma que si ésta fuera favorable se tomaría en consideración en segundo lugar el sustrato. Con un sustrato adecuado, la primera elección serían los vidrios infiltrados puesto que son las cerámicas más traslucidas, desechándose ya desde un principio la cerámica feldespática por menor resistencia. Ante un sustrato negativo, la elección se encaminaría a las cerámicas in-ceram o policristalinas para opacificar. 
Cuando se presente una oclusión desfavorable, el siguiente criterio a valorar ya no es el sustrato, sino el espacio protético disponible, de tal forma que ante un espacio protético disminuido, la recomendación es la de no utilizar este tipo de restauraciones y encaminar el tratamiento hacia puentes metal-cerámica para evitar la fractura a nivel de los conectores. En caso de espacio suficiente, se colocarían las cerámicas más resistentes, tales como las basadas en zirconia. Para terminar, se muestra el caso de un tratamiento con puentes in-ceram alúmina en sector anterosuperior, con oclusión favorable opacificando un sustrato negativo Fig. 12 y 13.  
BIBLIOGRAFIA 1. Philips RW: La ciencia de los materiales dentales de Skinner. Mexico: 9ª Edición. Interamericana McGraw-Hill. 1993 2. Vega del Barrio JM. Porcelanas y cerámica actuales. RCOE 1999; 4 (1): 41-54. 3. Macchi. Materiales dentales. Panamericana 3ª Ed. Madrid, 2000. 4. McLean JW. Evolution of dental ceramics in the twentieth century. J Prosthet Dent 2001; 85. 5. Kelly JR. Dental ceramics: current thinking and trends. Dent Clin North Am. 2004 Apr; 48 (2): viii, 513-30. Review. 6. Álvarez-Fernández MA, Peña-López JM, González- González IR, Olay-García MS. Características generales y propiedades de las cerámicas sin metal. RCOE 2003; 8 (5): 525-546. 7. Fons-Font A, Solá-Ruiz MF, Martínez-Gonzalez A, Casas-Terrón J. Clasificación actual de las cerámicas dentales. RCOE 2001; 6 (6); 645-656. 8. Chiche G, Pinault A. prótesis fija estética en dientes anteriores. Barcelona: Masson, 1998. 9. Blatz MB, Sadan A, Kern M. Resin-cerámic bonding: a review of the literature. J Prosthet Dent. 2003 Mar; 89 (3): 268-74. Review. 10. Pagniano RP, Seghi RR, Rosenstiel SF, Wang R, Katsube N. The effect of a layer of resin luting agent on the axial flexure strength of two old ceamic sistems. J Prosthet Dent. 2005 May; 93 (5): 459-66. 11. Lang BR, Maló P et al. Procera all ceram bridge. Applied Osseointegration Research 2004 ; 4 :13-21. 12. Guazzato M, Albakry M et al. Strength, fracture toughness and microstructure of a selection of all ceramic materials. Part I. Pressable and alumina glass-infiltrated ceramics. Dent Mater. 2004 Jun; 20 (5): 441-8. 13. Fons A, Solá MF, Granell M, Oteiza B. Cofias internas para jackets diseñadas y maquinadas por ordenador: sistema All Ceram. Rev Int Prótesis Estomatológica 1999; 1 (1): 74-80. 14. Haag P, Andersson M et al. 15 years of clinical experience with Procera Alumina. A review. Applied osseointegration Research 2004; 4: 7-12. 15. Raigrodsky AJ. Contemporary all ceramic fixed partial dentures: a review. Dent Clin North Am. 2004 apr; 48 (2): viii, 531-44. Review. |