Dr. Fernando Pedrola . - Dictante post-grado de implantología de la Facultad de Odontología de la Universidad Nacional de Rosario. - Coordinador general de clínica post-grado de implantología de la Asociación Odontológica Argentina y Universidad del Salvador (Bs. As.). Centro Dental Pedrola Av. Santa Fe 1503- Rafaela 2300- Santa Fe Te:03492-425078 // fernandopedrola@arnet.com.ar RESUMENExisten numerosas razones (estéticas, económicas y terapéuticas) para la confección de prótesis provisionales, hasta tanto se realice la prótesis definitiva. El material de elección es la resina acrílica, siendo muy importante una correcta manipulación y fundamentalmente el pulido de la porción cervical de los provisionales. En éste artículo se describen los distintos métodos para la confección (directos- híbridos- indirectos) explicando sus ventajas y desventajas. Palabras Clave provisional-resina acrílica-pulido. SUMMARY There are numerous reasons ( aesthetic, economic and therapeutic) for the making of provisiona l protheses before the marking of the definitive protheses. The selected material is acrylic resin, the correct handling and polishing of the provisional cervical portion being very important. In this article, the different methods for the making (direct, hy brid and indirect) are described and its advantages are explained. Key Words provisional - acrylic resin - polishing. INTRODUCCIÓNMuchas veces en Implantología es necesaria la realización de una prótesis provisional hasta tanto se realice la prótesis definitiva. Estas prótesis provisionales necesitan ser elaboradas con el máximo rigor de calidad, ya que además de favorecer el éxito de la prótesis definitiva, una prótesis provisional bien confeccionada reestablece la salud psicológica del paciente dejándolo más confiado y creando una relación favorable con el profesional. DESARROLLOCualquiera de las técnicas empleadas para la confección de restauraciones provisionales involucra a la resina acrílica auto o termopolimerizable. Las resinas acrílicas tienen la propiedad de retener placa bacteriana debido a las características de porosidad y aspereza inherentes, y muchas veces agravadas por la manipulación. Por tal motivo es importante que el 1/3 cervical de las prótesis reciba un tratamiento que deje la superficie extremadamente lisa y pulida, como una manera de dificultar la adherencia de placa sobre ésta, esto asociado a un óptimo control de placa. Razones para confeccionar restauraciones provisionalesEstéticas: esperar de 60 a 90 días la cicatrización definitiva de los tejidos blandos, y no tener variaciones de estos ya instalada la prótesis definitiva. reponer la pieza faltante mientras se confecciona la restauración definitiva, por ubicarse en sectores visibles. conformar el contorno gingival.
Para una correcta estética es fundamental el uso de restauraciones provisionales ya que a través de ellas voy a conformar el contorno gingival. Ir agregando pequeñas proporciones de acrílico realizando isquemias en la encía. Si la isquemia es grande retirar y desgastar. Ir masajeando la encía, y nunca anestesiar. Una corona puede ser perfecta en forma, color, contorno, pero si no tengo una buena encía, no va a haber una correcta transición entre esta y la corona ( la encía es como el marco de un cuadro). El contacto de la papila gingival es el secreto de la estética en implantología. De 6 a 12 meses el tejido gingival no aumenta más de 0,3 a 0,4mm por lo que no es cierto que si el paciente tiene un "hueco negro" por ausencia de papila, luego el organismo lo va a solucionar sólo. Lo único que puede hacer el organismo en el tiempo es maduración (a los años se hayan borrado cicatrices). Sabemos que cuando el implante oseointegrado empieza a recibir cargas, comienza la remodelación ósea que durará aproximadamente 1 año. Si las cargas son "lógicas"aumentará la condensación ósea dando una altísima predictibilidad del implante a través del tiempo ya que es raro el "fracaso tardío"(fracaso protético después de 1 año de carga). Si las cargas son "excesivas"el tejido óseo no podrá absorverlas y en lugar de remodelarse se irá reabsorviendo y produciéndose microfracturas en la interfase hueso-implante. Esto ocurre muchas veces en implantes cortos y/o hueso de mala calidad. En los casos que no estamos seguro de cual va a ser la evolución para evitar costos conviene realizar una restauración provisional, después del año de cargas (o incluso antes si la situación no es tan límite) realizamos la restauración definitiva. Nunca considero la indicación terapeútica de carga progresiva en donde se indicaba rehabilitar primeramente con estructuras más livianas y blandas, y posteriormente con estructuras pesadas y rígidas. Distintas estudios demuestran que esto no tiene sentido ya que no existe ninguna diferencia en relación al tejido óseo periimplantar ya sea con superficies oclusales cerámicas o acrílicas. Técnicas de confección de prótesis provisionales fijas sobre implantes oseointegrados. Las restauraciones provisionales fijas pueden ser obtenidas por 3 métodos: a) Técnica directa: se realizan en resina autopolimerizable. Ventajas: - Fácil fabricación - Tiempo clínico relativamente rápido - Establecen las relaciones oclusales de una forma satisfactoria. - Son de fácil reparación. Desventajas: - Modificación de color a corto plazo - Alta porosidad inherentes al material empleado - Tiempo limitado de uso o durabilidad - Favorecen la irritación gingival por la acción del monómero libre - Menor resistencia en prótesis extensas o de gran esfuerzo oclusal
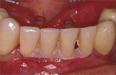
El primer paso consiste en colocar pilares protésicos y comprobar radiográficamente su correcto asentamiento (generalmente UCLA metálicos o bien existen sistemas que presentan cilindros plásticos para la confección de provisionales). Se confecciona acrílico autopolimerizable y al llegar a su estado plástico se realiza un dado que es adaptado sobre el pilar protésico. En boca y ayudado por una espátula se va dando forma. Al polimerizar se retira el provisional de la boca y con puntas montadas se eliminan los excesos de acrílico. Es importante que la remoción del acrílico sea relizada con puntas de corte fino que dejan una superficie más lisa favoreciendo una textura final más uniforme. Si se necesita hacer retoques se realizan por la técnica del pincel. Los ajustes oclusales son realizados con papel de articular y fresas esféricas. El 1/3 cervical debe tener un acabado con puntas de granos extras finos y gomas. Una vez terminado el acabado el provisional debe ser pulido con piedra pómez y agua con cepillos y ruedas de fieltro, hasta lograr una superficie de textura brillante.    Figuras 1, 2 y 3
-
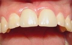
Selección previa de diente stock en el color y forma más semejante a los dientes naturales. Remoción del acrílico por oclusal en dientes posteriores o por palatino en dientes anteriores (carillas), tratando de mantener mayormente intactas las superficies. Una vez adaptado el diente preparar una pequeña porción de resina acrílica autopolimerizable en el color seleccionado y adaptar sobre el pilar en la posición obtenida previamente. En el caso de carillas moldear con el dedo índice de la mano la cara palatina. Sostener con los dedos índice y pulgar de la misma mano, pudiendo eliminar excesos con la otra mano. Al terminar la exotermia de la autopolimerización retirar el provisional y realizar las maniobras de acabado y pulido como mencioné anteriormente.
 
  Figuras 4, 5, 6 y 7
 
 Figuras 8, 9 y 10
  Figuras 11 y 12
b) Técnica Híbrida: Se denomina así porque abarcan procedimientos clínicos y de laboratorio conjuntos, previo a la preparación. Los provisionales son elaborados a partir de enfilados de diagnóstico o de modelos preeliminares.
Ventajas: - Puede ser usado para restauraciones unitarias o múltiples - Permite construir provisionales más extensos debido a la mayor - Resistencia y dureza que se logra con esta técnica - Reducen significativamente los pasos clínicos. Desventajas: - Mayor costo por el uso del laboratorio y materiales - Uso de matriz: A partir de un modelo de yeso (generalmente es obtenido por duplicación del encerado de diagnóstico, o bien se utiliza un modelo preeliminar del paciente), se confecciona una matríz en Vacu Press utilizando una placa blanda de 1,5 mm de espesor. La gran virtud de los provisionales obtenidos a partir de encerados de diagnóstico es la posibilidad de corregir la posición y la forma de los dientes que servirán como patrón para la prótesis definitiva. La matriz puede servir también como guía para saber si debemos realizar desgastes sobre los pilares. La resina acrílica es colocada en el interior de la matriz, con el cuidado de no aprisionar burbujas de aire. Cuando el acrílico pierde el brillo superficial la matriz es reposicionada en boca sobre los pilares protésicos, pudiendo ser el paciente intruído para que ocluya. Sostener la matriz pero no ejercer presión exagerada ya que dado la plasticidad de la matriz se puede originar provisionales distorsionados. Se deja alrededor de 1 minuto, se remueve la matriz, se liberan los orificios de acceso a los tornillos protésicos, y se espera la polimerización completa de la resina. Se retira el provisional de la boca y se realizan las maniobras de acabado y pulido. 
  Figuras 13, 14 y 15
 
   Figuras 16, 17, 18 , 19 y 20
Tanto las técnicas directas e híbridas sirven como un primer provisional o para un corto espacio de tiempo de uso.
c) Técnica indirecta: El provisional se realiza exclusivamente en el laboratorio y es adaptado en boca. Las técnicas indirectas abarcan exclusivamente procedimientos laboratoriales. Como provisionales tienen una calidad significativamente superior a cualquier otra técnica. Son procedimientos de elección cuando existe la necesidad de esperar algún tiempo (recuperación de procedimientos quirúrgicos, espera de otros tratamientos, indisponibilidad de tiempo, factor económico, etc.). Es la prótesis provisional que más se aproxima a la definitiva, excepto por los materiales empleado. Ventajas: - Durabilidad significativamente mayor - Gran aumento de la resistencia por la resina acrílica termopolimerizable - Mayor estética - Facilitan el restablecimiento de los requisitos oclusales - Mejoran la convivencia con los tejidos blandos dada la calidad de contornos y textura de superficie - Tiempo de ajuste clínico reducido Desventajas: Su gran desventaja es el costo, ya que para su elaboración general se necesitan de impresiones idénticas a las necesarias para las prótesis definitivas, y procedimientos de laboratorio más complejos (modelos, encerados, fundición). La estructura encerada es incluída en una mufla. Se elimina la cera y es prensada con resina acrílica del color seleccionado, y se procede a la termopolimerización. Después de 30 a 60min de calor la mufla es retirada del fuego, se deja enfriar en una temperatura ambiente, y entonces es abierta. La pieza es removida, limpiada y recortado los excesos más grandes y es colocada en un líquido removedor de yeso por 10min en un aparato ultra sonido. Luego se realiza el acabado, los ajustes oclusales y el pulido final. En algunas situaciones existen provisionales con estructuras metálicas para proporcionar mayor resistencia, especialmente en espacios desdentados. Estudios muestran que la técnica indirecta genera provisionales con una superioridad definida sobre los métodos directos o de reembasamiento.  
  Figuras 21, 22, 23 y 24
CONCLUSIÓN Como habrán leído existen distintas técnicas para la confección de prótesis provisionales "cayendo"sobre nosotros la responsabilidad de saber elegir la técnica más favorable para las distintas situaciones clínicas. En todas se destaca la importancia que tiene el acabado final y pulido fundamentalmente del 1/3 cervical, para una correcta convivencia con el tejido blando. La restauración provisional proporciona al odontólogo la oportunidad de alterar el diseño de la prótesis definitiva, actúa como modelo de esta y proporciona tiempo para la maduración de los tejidos. Independientemente que existan procedimientos de laboratorio los costos son siempre bajos con respecto a la prótesis definitiva, por lo que nunca debería ser un impedimento para la confección. Además la prótesis provisional puede ser guardada después de la culminación de la prótesis definitiva, para ser usada en cualquier momento por posibles accidentes que pudieran ocurrir a la nueva prótesis o en caso que sea necesario una modificación a la restauración definitiva. BIBLIOGRAFÍA Mezzomo, Elio.et al.(1997):Rehabilitación Oral para el Clínico. Actualidades Médico Odontológicas Latinoamericana, edición en español, pág 345-75. Proussaefs, P.(2002):The use of healing abutments for the fabrication of cement-retained, implant-supported provisional prostheses. J. Prosthet Dent, Mar, 87(3): 333-5. Poggio, CE; Salvato, A.(2002):Bonded provisional restorations for esthetic soft tissue support in single-implant treatment.J. Prosthet. Dent, Jun, 87(6): 688-91. Tung, FF; Coleman, AJ; Lu,TN. et al.(2001):A.multifunctional, provisional, implant-retained fixed partial denture. J. Prosthet Dent, Jan, 85(1): 34-9. Stimmelmayr, M.; Maierhofer, A. (2001): Máxima estética implantológica mediante pónticos provisionales y supraestructura de cerámica sin metal.Quintessence técnica (ed.esp), marzo12(3): 137-47. Biggs, WF; Litvak, AL. (2001): Inmediate Provisional restorations to aid in gingival healing and optimal contours for implant patients. J. Prosthet Dent, Aug, 86 (2): 177-80. Basten, Cristoph.(2000): Prótesis provisionales de larga duración basadas en el empleo de "cáscaras" de acrílico y su aplicación en implantología. Quintessence Técnica (ed.esp), mayo,11(5): 285-90. Semsch, Rainer.(2000):Provisorios con cubiertas en la implantología.Quintessence (ed.esp), Mayo,11(5): 291-303. Jemt, Torsten.(1999): Restauración del contorno gingival mediante coronas provisionales tras el tratamiento con un implante unitario. Rev. Int. Odontol. Rest.period, 3(1): 21-9. Sliwoski, C; Mosch H. (1999): Fabricación de una corona provisional para la inserción protésica inmediata después de la exposición de un implante cicatrizado. Quintessence Téc (ed. esp), agosto, 10 (7): 373-80.
EPÍGRAFES Figuras 1, 2 y 3: Método directo "a mano alzada" para confeccionar un contorno gingival correcto. Figuras 4, 5, 6 y 7: Método directo utilizando diente stock para permitir la remodelación ósea en implante "corto". Figuras 8, 9 y 10: Método directo empleando dientes de la prótesis removible del paciente. Figuras 11 y 12: Método directo empleando dientes de la prótesis removible del paciente utilizando cilindros plásticos. Figuras 13, 14 y 15: Método hibrido. Figuras 16, 17, 18, 19, 20: Método híbrido con el objeto de parcializar el tratamiento. Figuras 21, 22,23 y 24: Método indirecto con el propósito de brindar una solución económica y estética.
|