| |
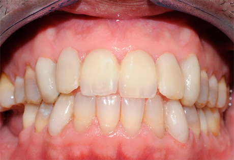
AUTHOR: Dra. Sebastiana Arroyo Bote1 1: Profesor Asociado de la facultad de Medicina y Ciencias de la Salud de la Universidad de Barcelona, España. Investigador de IDIBELL Correspondencia: Sebastiana Arroyo Bote. Mail. 20506sab@comb.cat Telef.:609356677 RESUMEN: La rehabilitación estética del sector anterior es un reto clínico que puede solucionarse con distintas opciones terapéuticas, el clínico debe evaluar la etiología del problema estético, el estado general de patología oral (caries y enfermedad periodontal) y debe individualizar el tratamiento a la situación oral de cada paciente sopesando la dualidad entre resultado estético y sacrificio de tejidos dentales. Actualmente disponemos de materiales adhesivos estéticos que nos permiten utilizar técnicas de mínima intervención con buenos resultados clínicos basados en la evidencia científica. Presentamos un caso clínicos con grave compromiso estético cromático en un paciente con amelogenesis imperfecta rehabilitado con técnicas ultraconservadoras. ABSTRACT:The aesthetic rehabilitation of the anterior sector is a clinical challenge that can be solved with different therapeutic options, the clinician must evaluate the etiology of the aesthetic problem, the general state of oral pathology (caries and periodontal disease) and must individualize the treatment to the oral situation of each patient weighing the duality between aesthetic result and sacrifice of dental tissues. Currently we have aesthetic adhesive materials that allow us to use minimal intervention techniques with good clinical results based on scientific evidence. We present a clinical case with severe chromatic aesthetic compromise in a patient with amelogenesis imperfecta rehabilitated with ultra conservative techniques. Palabras Clave: Displasia, Restauración Dental, Materiales Adhesivos, Minima Intervención. Keywords: Dysplasia, Dental Restoration, Adhesive Materials, Minimal Intervention INTRODUCCIÓN Las displasias del esmalte son desordenes estructurales cualitativos o cuantitativos que ocurren durante el periodo de amelogénesis. La amelogénesis imperfecta es la enfermedad más importante dentro de las displasias, afecta exclusivamente al esmalte , es la consecuencia de alteraciones genéticas regidas por diferentes tipos de herencia , . Las displasias no hereditarias son debidas a enfermedades sistémicas o problemas ambientales que afectan durante el periodo de amelogénesis , . La severidad de la afectación estética que producen estas displasias puede ser muy diversa, pero siempre va a requerir de tratamientos rehabilitadores que serán más complejos cuanto mayor sea la afectación del esmalte , . Cuando el origen de la displasia es ambiental, no están afectadas las dos denticiones y suele tener una afectación lineal, que determina el periodo en que la noxa externa ha afectado la formación del esmalte, cuanto mayor es el tiempo en el que la noxa actúa, mayor será la afectación de los dientes, tanto en número como extensión . El abordaje terapéutico de estos pacientes puede ser muy complejo, pero en muchas situaciones podemos realizar restauraciones estéticas adhesivas de composite que devuelven al paciente la estética y función de los dientes de una forma sencilla6, . El paciente afecto de displasia del esmalte suele tener más tendencia a la caries y a la abrasión dental, el grado de estas patologías es mayor cuanto mayor es el grado de displasia, especialmente si el esmalte afecto está situado en caras oclusales o interproximales, el tratamiento recomendado suelen ser restauraciones de composite hasta que el paciente es adulto, para luego realizar tratamiento protésico de recubrimiento coronal total Presentamos la rehabilitación estética de un paciente con displasia del esmalte con restauraciones directas adhesivas con mínima intervención. CASO CLINICO Paciente varón de 40 años, no fumador, sin antecedentes médicos personales ni familiares de interés, que acude a la consulta para solucionar la estética del sector anterior debido a un problema de color. En la anamnesis el paciente explica que hace años se sometió a un tratamiento en el sector anterior para solucionar un problema de los dientes debido a alguna anomalía dental. En la exploración se observa fundamentalmente un cambio de color en el tercio medio y cervical de los incisivos centrales superiores, la cara vestibular de los incisivos laterales superiores, tercio medio e incisal de los caninos superiores y cara vestibular de los caninos inferiores, donde se observan restauraciones antiguas que en el momento de la exploración presentan una alteración cromática importante. También se aprecia anomalías en el esmalte de la cara oclusal y vestibular de los premolares, pero con un color más grisáceo (fig. 1).
 El fenotipo del paciente sugiere que tuvo un problema en el periodo de amelogénesis y la distribución en banda sitúa el problema aproximadamente entre los 2-4 años, sin embargo, la familia no recuerda que el paciente tuviese problemas de salud ni hubiese tomado antibióticos durante la infancia. La falta de antecedentes familiares con anomalías dentales y la distribución en banda del problema implica que se trata de una displasia ambiental, posiblemente de origen iatrogénico. En paciente tiene un color A-2 en las zonas no afectadas por la displasia y no presenta caries ni periodontitis, por lo que se aconseja un tratamiento restaurador de mínima intervención solo en las zonas con grave problema estético del sector anterior, indicando restauraciones adhesivas directas El paciente no presentaba ningún tipo de sensibilidad preoperatoria en las piezas a rehabilitar, por lo que nos decidimos por utilizar una técnica adhesiva con grabado ortofosfórico, para obtener mejor sellado marginal en esmalte. Para ello podemos utilizar un adhesivo monocomponente de quita generación o un adhesivo universal de fotopolimerización. Nos decidimos por este último grupo de adhesivos puesto que nos permitía la posibilidad de realizar grabado selectivo en esmalte en los dientes en los que hubiese mucha dentina expuesta y grabado total en los que hubiese poca dentina expuesta. Se decide utilizar Futurabond U monodosis (VOCO), como adhesivo universal aplicado con la técnica de grabado selectivo y/o total. Como material restaurador se seleccionó ORMOCER® nano-híbrido (Admira Fusión, VOCO), por tratarse de un material restaurador de alta biocompatobilidad y estabilidad cromática, con un 84% de relleno en peso y una baja contracción a la polimerización (1,25% en volumen). Tras la anestesia infiltrativa, (lidocaína con adrenalina), se inicia el tratamiento con la preparación del tercio medio y cervical de los incisivos centrales superiores (1.1 y 2.1), realizando una preparación cavitaria que se limitó a la eliminación de todo el esmalte displásico y las restauraciones antiguas, llevando la preparación a los límites del esmalte sano. La profundidad fue la suficiente para eliminar las restauraciones antiguas. En el borde-cavo incisal de la preparación se realizó un bisel corto y un contrabisel y en el borde-cavo gingival se realizó una pequeña rielera (fig. 2).

En los incisivos laterales (1.2 y 2.2) y caninos superiores (1.3 y 2.3) se talló toda la cara vestibular, realizando una preparación para carillas de tipo I, sin tallado incisal. Y en las zonas con mayor problema de color se realizó un tallado ligeramente más profundo para intentar dar más grosor al material restaurador y poder obtener mejor resultado estético (Fig. 3).
 En los caninos inferiores (3.3 y 4.3) se talló todo el tercio cervical y medio de la cara vestibular preservando el esmalte del tercio incisal, realizando bisel y contrabisel en el límite incisal de la preparación y rielera en gingival, igual que en los centrales superiores (Fig. 4).
 Una vez realizada la preparación cavitaria y tras lavar y secar las piezas, se inicia la fase restauradora con la aplicación de grabado ortofosfórico al 35 % en gel Vocoocid (VOCO), durante 15 segundos, tras la eliminación del gel y el lavado abundante procedemos al aislamiento relativo de las piezas y colocamos matrices de acetato para individualizar los dientes. Iniciamos la restauración por los incisivos centrales, aplicando una capa de adhesivo en toda la cavidad (Fig. 5), dejamos interaccionar los componentes del adhesivo durante 20 segundos, procediendo después a un secado suave (3 segundos) y polimerizamos durante 20 segundos con lámpara de LEDs de alta intensidad (1000 mV), realizamos la obturación con Admira Fusión A2 en dos incrementos. Posteriormente realizamos las restauraciones en los incisivos laterales y caninos, en los que aplicamos, después del adhesivo, una capa de composite Amaris® Flow High Opaque (HO) en la zona cervical debido al color amarillo tan oscuro que presentan los dientes en esa zona, con la intención de obtener un color adecuado al finalizar la restauración (Fig. 5).
 Una vez finalizadas las restauraciones procedemos a la fase de modelado, ajuste oclusal, pulido y abrillantado, para lo que utilizamos fresa larga de diamante de grano fino a superalta velocidad, sistema de pulido Dimanto Set Pulido (VOCO) y finalizamos con Ceram X gloss finishing y Ceram X gloss polishing. (Dentsply) (Fig. 6), Damos por finalizado el caso, aconsejando al paciente controles posteriores y lo importante que es mantener una buena higiene oral, y evitar bebidas o alimentos cromógenos para que las restauraciones permanezcan con buena estabilidad cromática. (Fig. 7 y 8),
  DISCUSION Cuando nos enfrentamos a situaciones clínicas con graves problemas estéticos es muy importante tener en cuenta distintos factores que nos ayudaran a decidir el tratamiento rehabilitador en cada caso. Debemos en primer lugar considerar las necesidades del paciente, la edad, la patología oral que ha causado el problema y el estado actual de la boca del paciente. La adhesión a esmalte displásico y la fuerza adhesiva obtenida no es tan efectiva como en esmalte sano, por ello, si el caso lo permite, debemos llevar el límite de nuestras restauraciones a esmalte sano . Los adhesivos autograbadores tienen buenos resultados en dentina , pero en esmalte es preferible realizar un grabado selectivo, especialmente si queremos asegurarnos de un buen sellado marginal o bien son restauraciones muy comprometidas por ser muy extensas y con poca retención . Hemos realizado un pregrabado en esmalte durante 15 segundos. Los estudios realizados por Tsujimoto et col , concluyen que el tiempo aconsejado para la técnica de grabado selectivo del esmalte previo a la aplicación de adhesivos autograbadores debe ser no mayor de 15 segundos, para obtener una mejora en la adhesión La situación clínica que presenta el paciente puede abordarse con distintos tratamientos y distintos materiales, desde carillas indirectas de cerámica o de composite en todo el sector anterior superior y en los caninos inferiores, carillas directas de composite también de los ocho dientes o cuatro carillas directas o indirectas y cuatro restauraciones directas, siendo todas estas soluciones de mínima intervención y descartando rotundamente la rehabilitación con coronas cerámicas por considerarla una opción muy agresiva. Opté por la solución más conservadora para el paciente debido a que se trata de un paciente joven, es decir cuatro carillas directas y cuatro restauraciones directas. La decisión restauración directa indirecta es controvertida, clásicamente se consideraba la restauración directa como un paso previo a la restauración indirecta, teniendo unas expectativas de supervivencia menores. Los últimos estudios no están de acuerdo con estos conceptos observando un índice de fracturas y complicaciones en las restauraciones indirectas equiparable o mayor que las directas, pero además las directas son más respetuosos con los tejidos remanentes del diente y la solución a los problemas que puedan presentar es más sencilla clínicamente . Factores como la tendencia a la caries o la abrasión se han considerado negativos a la hora de la restauración con composites , , . Sin embargo las nuevas técnicas y la mejora de los composites hacen que estos materiales estén indicados en tratamiento realmente extremos , Respecto a los materiales que podíamos utilizar, la industria nos ofrece una gran gama de composites de alta estética con distintas opacidades que están perfectamente indicados en este caso, sin embargo, seleccioné un material de gran estabilidad cromática ORMOCER® nano-híbrido, por ser un material basado totalmente en cerámica, tanto la matriz como el relleno están basados en óxido de silicio. Tiene una muy buena manipulación, estabilidad cromática y al tener un alto porcentaje de relleno nanocerámico nos permite un buen pulido. Özdaş, et al en un estudio de estabilidad cromática con distintos composites, concluyen que todos los composites sufren un cambio de color tras ser sumergidos en distintas soluciones dependiendo del tiempo de inmersión y del tipo de composite. El tipo de matriz del que está compuesto el composite, el tamaño y número de partículas y el fotoiniciador influyen en la estabilidad cromática del material , . ORMOCER® nano-híbrido, tiene una matriz y un alto porcentaje de relleno inorgánico de óxido de silicio nanocerámico lo que le proporciona unas propiedades diferentes de los composites con matriz de Bis-GMA. Sin embargo necesitamos estudios que confirmen la mayor estabilidad cromática que el fabricante otorga al material que hemos utilizado en comparación a los composites convencionales. La simplicidad de la técnica utilizada también debe ser considerada, podemos obtener buenos resultados estéticos con materiales y técnicas sencillas sin necesidad de utilizar más de dos opacidades . La zona cervical de los incisivos laterales es donde hay mayor problema de color, puede observarse en la foto inicial y en las preparaciones. En estas zonas opté por poner una base de alta opacidad para poder obtener un efecto camaleónico en las restauraciones finales. CONCLUSION La odontología conservadora actual debe respetar al máximo los tejidos dentales sanos de nuestros pacientes, por lo que debemos siempre indicar tratamientos en los que haya equilibrio entre la estética obtenida y los tejidos dentales sacrificados. Aconsejando a nuestros pacientes tratamientos ultraconservadores. Utilizando materiales y técnicas que nos garanticen el sellado de las restauraciones, el restablecimiento estético de los dientes y la estabilidad cromática. BIBLIOGRAFÍA C. Witkop, «Amelogenesis imperfecta,dentinogenesis imperfecta and dentin dysplasia revisited: problems in classification.,» J Oral Pathol., vol. 17, nº 9-10, pp. 547-53, 1988. S.-K. Wang, Y. Hu, J. Simmer, F. Seymen, N. Estrella, S. Pal, B. Reid, M. Yildirim, M. Bayram, J. Bartlett y J. and Hu, «Novel KLK4 and MMP20 Mutations Discovered by Whole-exome Sequencing.,» J Dent Res, vol. 92, nº 3, pp. 266-71, 2013. Harryparsad, A.; Rahman, L.; Bunn, BK.. Amelogenesis Imperfecta: a diagnostic and pathological review whit case illustration. SADJ October 2013 Vol 68nº 9 p 404-07 L. Ferreira, E. Paiva, H. Ríos, J. Boj, E. Espasa y P. Planells, « Hipomineralización incisivo molar: su importancia en Odontopediatría.,» Odon Pediatr 2005, vol. 13, nº 2, pp. 54-9, 2005. S. Hegde, «Multiple Unerupted Teeth with Amelogenesis Imperfecta in Siblings.,» North Am J Med Sci, vol. 4, nº 5, pp. 235-7, 2012. Sesin Sequiera, O.; Ruiz Rodríguez; Garrocho Rangel, JA. Manejo restaurativo de un paciente pediátrico con Amelogénesis Imperfecta. Reporte de un caso. http://www.ortodoncia.ws/publica ciones/2016 art 15 aps. Rev Latino americana de ortodoncia y odontopediatria. Julio 2016 Soni R, Singh A, Vivek R, Chaturvedi TP, Soni S. A conservative approach towards prosthetic rehabilitation of the young female patient with amelogenesis imperfecta - a case report. Ann Evid Dent 2013; 5(3): 15-8. K. Malik, K. Gadhia, N. Arkutu y S. a. B. F. McDonald, «The interdisciplinary management of patients with amelogenesis imperfecta - restorative dentistry.,» British Dental Journal. , vol. 212, nº 11, pp. 537-42, 2012. K. Gadhia, S. McDonald, N. Arkutu y K. and Malik, «Amelogenesis imperfecta: an introduction,» Br Dent J. , vol. 212, nº 8, pp. 377-9, 2012. Salman Rashid, M.; Altaf, A.; Shahid, U.; Munir, B..Restoration of anterior teeth with direct composite veneers in hereditary enamel displasiaPakistan Oral & Dental Journal 2014 december Vol 34, No. 4 Sabandal, M.; E. Schäfer, E.. Amelogenesis imperfecta: review of diagnostic findings and treatment concepts. Odontology (2016) 104:245-256 Yaman BC, Ozer F, Cabukusta CS, Eren MM, Koray F, Blatz MB. Microtensile bond strength to enamel affected by hypoplastic amelogenesis imperfecta. J Adhes Dent 2014; 16(1): 7-14. Andrés Aguilar L., Juan Barriga, Raúl Chumi Terán. Adhesivos de quinta y sexta generación http://www.ortodoncia.ws/publica ciones/2015 Rev Latino americana de ortodoncia y odontopediatria. octubre de 2015. M. Lenhard. Restoration of Severely Compromised Teeth With Modern Operative Techniques. Operative Dentistry, 2016, Supplement 7, p88-p95. A Tsujimoto, WW Barkmeier, T Takamizawa, MA Latta, and M Miyazaki (2016) The Effect of Phosphoric Acid Pre-etching Times on Bonding Performance and Surface Free Energy with Single-step Self-etch Adhesives. Operative Dentistry: July/August 2016, Vol. 41, No. 4, pp. 441-449. Heintze SD, & Rousson V (2012) Clinical effectiveness of direct class II restorations-A meta-analysis Journal of Adhesive Dentistry 14(5) 407-431. Opdam NJ, Van de Sande FH, Bronkhorst E, Cenci MS,Bottenberg P, Pallesen U, Gaengler P, Lindberg A, Huysmans MC, & van Dijken JW (2014) Longevity of posterior composite restorations: A systematic review and meta-analysis Journal of Dental Research 93(10) 943-949. Van de Sande FH, Opdam NJ, Rodolpho PA, Correa MB, Demarco FF, & Cenci MS (2013) Patient risk factors' influence on survival of posterior composites Journal of Dental Research 92(7 Supplement) 78S-83S. Correa MB, Peres MA, Peres KG, Horta BL, Barros AJ, & Demarco FF (2013) Do socioeconomic determinants affect the quality of posterior dental restorations? A multilevel approach Journal of Dentistry 41(11) 960-967. Demarco FF, Correˆa MB, Cenci MS, Moraes RR, & Opdam NJ (2012) Longevity of posterior composite restorations: Not only a matter of materials Dental Materials 28(1) 87-101. M Lenhard (2016) Restoration of Severely Compromised Teeth With Modern Operative Techniques. Operative Dentistry: September 2016, Vol. 41, No. S7, pp. S88-S95. B Loomans and T Hilton (2016) Extended Resin Composite Restorations: Techniques and Procedures. Operative Dentistry: September 2016, Vol. 41, No. S7, pp. S58-S67. Özdaş, Didem Öner et al. "Color Stability of Composites After Short-Term Oral Simulation: An in Vitro Study." The Open Dentistry Journal 10 (2016): 431-437. PMC. Web. 21 Oct. 2016. Barutcigil Ç., Yıldız M. Intrinsic and extrinsic discoloration of dimethacrylate and silorane based composites. J. Dent. 2012;40(Suppl. 1):e57-e63. doi: 10.1016/j.jdent.2011.12.017 Gregorius W.C., Kattadiyil M.T., Goodacre C.J., Roggenkamp C.L., Powers J.M., Paravina R.D. Effects of ageing and staining on color of acrylic resin denture teeth. J. Dent. 2012;40(Suppl. 2):e47-e54. doi: 10.1016/j.jdent.2012.09.009 MF Romero, FJ Haddock, AG Freites, WW Brackett, and MG Brackett (2016) Restorative Technique Selection in Class IV Direct Composite Restorations: A Simplified Method. Operative Dentistry: May/June 2016, Vol. 41, No. 3, pp. 243-248.
|