| |
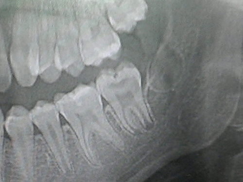
Marchena Rodríguez, Leticia. Máster en Salud Pública Oral. Universidad de Sevilla. Fernández Ortega, Carlos Mª. Máster en Salud Pública Oral. Universidad de Sevilla. RESUMEN La varicela es una enfermedad común en niños de 5 a 9 años, que generalmente se resuelve sin necesidad de tratamiento contra la misma. Las lesiones orales tradicionalmente asociadas a dicha enfermedad se producen sobre tejido blando, no son dolorosas y desaparecen a la conclusión de la enfermedad. No obstante, la varicela puede causar defectos permanentes en el esmalte si se contrae durante la etapa de calcificación de la dentición permanente, en particular los primeros molares. El presente artículo realiza una revisión bibliográfica del tema, a la vez que presenta un caso clínico de un paciente con defectos en el esmalte, causados posiblemente por la varicela. Al no existir abundante bibliografía sobre el asunto, se recomienda perseverar en la investigación de la posible relación causal entre varicela y defectos en el esmalte. Palabras clave Varicela, manifestación oral, virus varicela-zoster, herpes-zoster, hipomineralización. ABSTRACT Varicella is a common illness in children 5 to 9 years, which usually resolves without treatment against it. Oral lesions traditionally associated with this disease occur on soft tissue, are not painful and disappear at the conclusion of the disease. However, Varicella can cause permanent enamel defects if contracted during the period of calcification of the permanent teeth, including first molars. This paper makes a review of the literature, while presenting a case of a patient with enamel defects possibly caused by Varicella. Since there is abundant literature on the subject, it encourages continued research into the possible causal relationship between chickenpox and enamel defects. Key words Varicella, oral expression, varicella-zoster, herpes zoster, Hypomineralization virus. INTRODUCCIÓN Etiología La varicela es una enfermedad vírica causada por el virus Varicela-Zoster (VVZ), o herpesvirus 3 en humanos. Si bien la infección primaria se manifiesta habitualmente en niños y adolescentes, no es extraño que en algunos pacientes inmunodeprimidos que ya han estado expuestos al VVZ con anterioridad dicho virus se reactive en forma de Herpes-Zoster o Varicela-Zoster. (1, 2) El virus se transmite principalmente a través de partículas de saliva, así como por contacto con cierta cantidad de partículas virales. Ello da lugar a dos situaciones particularmente comprometidas en la consulta dental en lo que se refiere a transmisión de la enfermedad; por un lado, el spray utilizado en la consulta puede actuar como medio de transmisión de las mencionadas partículas; por otro, el contacto del dentista con las vesículas causadas por la varicela, con alta carga vírica, puede ocasionar una transmisión accidental de la enfermedad a otro paciente o a sí mismo. (3) Patogenia Tras el contagio tiene lugar una replicación viral en los ganglios linfáticos regionales, con una duración aproximada de 2 a 4 días. A continuación se produce una viremia inicial, que dura de 4 a 6 días. Posteriormente se da una segunda replicación en el hígado y el bazo, entre otros órganos, seguida de una segunda viremia. Algunos autores sostienen que en esta fase el virus se extiende a los nervios sensoriales, donde permanece en estado latente. La reactivación del virus daría lugar al Herpes Zoster. (1, 4) Características clínicas Los síntomas que se manifiestan durante el período prodrómico incluyen, entre otros, fiebre, cefalea, malestar general, congestión pulmonar o dolor faríngeo. (5, 6). A continuación se produce la manifestación más característica de la enfermedad, consistente en una erupción cutánea general de máculas eritematosas, que a su vez evolucionan a pápulas, vesículas y pústulas. Por otro lado, el hecho de que puedan coincidir lesiones en distinta fase de desarrollo es una de las características más destacadas de la enfermedad. (7) Diagnóstico La enfermedad plantea un diagnóstico diferencial con el síndrome boca-mano-pie o la primoinfección herpética (herpes simple). (8). A nivel bucal, en caso de lesión simple puede hacerse un diagnóstico diferencial con la estomatitis aftosa recurrente menor. Si se producen lesiones múltiples se plantea un diagnóstico diferencial con la primoinfección herpética. Usualmente la varicela se diagnostica por las características clínicas, tales como la erupción cutánea, así como la información obtenida en la anamnesis en relación con la exposición al virus. No obstante, en caso necesario existen técnicas de diagnóstico tales como la citología del contenido de las vesículas, inmunfluorescencia directa de una biopsia, reacción en cadena de la polimerasa o cultivos. (3, 8, 9) Complicaciones La varicela presenta una serie de complicaciones en adultos y pacientes inmunodeprimidos que la hacen más peligrosa, tales como la neumonía, la encefalitis, fiebre a altas temperaturas, infección secundaria de las lesiones o síndrome de Reye. En pacientes inmunodeprimidos, sin una terapia antiviral efectiva, puede producirse la muerte en un porcentaje comprendido entre el 7% y el 20%. (1, 10, 11, 12) Adicionalmente, la infección por VVZ durante el embarazo supone un peligro para el feto (13, 14). Epidemiología y vacuna La varicela es una de las enfermedades más comunes que pueden suceder durante la infancia. Así, el 90% de los adultos presenta anticuerpos del VVZ. La edad típica de infección se sitúa entre los 5 y los 9 años de edad. La incidencia de Herpes-Zoster es reducida, situándose en el 0,074% para menores de 9 años, en el 0,1% para los pacientes entre 10 y 15 años y entre el 0,3% y el 0,5% para la población adulta. Actualmente existe vacuna eficaz contra la varicela, que puede administrarse en una dosis única a partir de los 15 meses de vida, o en dos dosis para adultos (2). Además, la prevalencia de herpes-Zoster en niños sanos vacunados es aún más reducida de lo descrito con anterioridad. No obstante, dicha vacuna está contraindicada en pacientes inmunodeprimidos y mujeres embarazadas. (1, 3, 4, 15, 16). Lesiones orales Las lesiones orales poseen inicialmente naturaleza vesicular y tamaño reducido, y se manifiestan principalmente en lengua, carrillo, paladar duro, encías y pilares posteriores. En una fase posterior se produce la rotura de las mismas, quedando una úlcera que en general presenta poco o ningún dolor. Las lesiones son a menudo similares a la de aftas menores recurrentes. En los casos en que se producen lesiones múltiples puede parecer que se trata de una lesión mayor. La principal área de apariencia de éstas es el bermellón del labio, seguida del paladar. (1, 5, 6, 17, 18) Asociación con la hipomineralización incisivo-molar La hipomineralización incisivo-molar es una patología que afecta fundamentalmente, aunque no de manera exclusiva, a los primeros molares permanentes, y se caracteriza por un defecto cualitativo en el esmalte causado por alteraciones en la calcificación de los mismos. Entre las posibles causas de la hipomineralización se encuentra la varicela. (19) OBJETIVO El presente artículo realiza una revisión bibliográfica del material existente acerca de la varicela y sus manifestaciones orales. Adicionalmente, se analiza un caso clínico que plantea una hipótesis de lesiones en el esmalte dental causadas por la varicela. MATERIAL Y MÉTODOS Se ha hecho una revisión bibliográfica en PubMed, Scopus; insertando palabras clave como "varicela, manifestación oral, virus varicela-zoster, herpes-zoster, hipomineralización". Se han seleccionado aquellas fuentes bibliográficas con una antigüedad menor a 15 años. Además, se desarrolla un caso clínico de lesiones en el esmalte dental, con la varicela como posible causa. RESULTADOS Paciente de sexo masculino de 13 años de edad que acude a la consulta dental para una exploración bucodental. El paciente refiere sensibilidad al frío y calor asociado a los 2ºmolares permanentes inferiores derecho e izquierdo, 47-37 semiincluidos. En la anamnesis preguntamos por su hábitos higiénico-dietéticos y comenta que se cepilla una vez al día los dientes y que come bebidas carbonatas los fines de semana. A nivel médico, la madre refiere que no toma ningún medicamento, lo único que comenta que hace unos 5 años pasó la Varicela; que le causó fiebre y malestar general, acompañado de lesiones máculo-papulosas a nivel cutáneo, sobre todo en brazos y espalda. Tras la exploración bucodental apreciamos caries limitadas a esmalte en 46 y 44 y la presencia de 2º molares permanentes mandibulares, 37,47 semiincluídos; en el que se aprecia en las cúspides vestibulares erupcionadas, defectos de hipomineralización del esmalte de estos molares; en los que el paciente refiere sintomatología dolorosa al frío y calor. Para completar el diagnóstico prescribimos una ortopantomografia de control para valorar el estado de estos 2º molares permanentes inferiores semiincluidos. Apreciamos en la radiografía en el 2º molar permanente inferior derecho, 47, defectos estructurales amelodentinarios con grave compromiso pulpar; apreciándose retracción del cuerno pulpar mesial debido a estos defectos de mineralización. La misma afectación amelodentinaria pero de menor gravedad se presenta en el 2º molar permanente inferior izquierdo, 37. En ambos molares permanentes, los ápices no se han terminado de formar, estando los ápices abiertos sin terminar su formación. Informamos a la madre de que posiblemente los defectos de hipomineralización en los 2º molares permanentes 37-47, pueden ser debidos a los hábitos higiénicos dietéticos y que también la afectación de la varicela hace 5 años, que coincide con las etapas de formación de estos 2º molares permanentes; puede haber contribuído a la aparición de defectos de hipomineralización molar. Recomendamos tratamiento conservador con la eliminación del tejido hipomineralizado y aplicación de relleno provisional con Óxido de Zinc Eugenol (IRM) para estimular así la formación de dentina terciaria; y que en el plazo de 3 meses acuda de nuevo a la consulta para la obturación definitiva a base de Amalgama de Plata. Motivamos al paciente a mejorar su higiene, cepillándose los dientes 3 veces al día y recomendamos también enjuagues con flúor. También vemos necesaria que cada 3 meses se aplique barniz de flúor, al catalogar al paciente en grave riesgo de caries.  Fig.1. Defectos de mineralización amelodentinario del 47 con afectación del asta pulpar mesial. Molar con ápices abiertos en estado todavía de formación radicular. Paciente con sensibilidad al frío y calor en el 47.  Fig.2. Defectos de mineralización amelodentinario en el 37 con sensibilidad al frío y calor; junto con ápices radiculares sin formar en un paciente que ha sufrido Varicela hace cinco años. DISCUSIÓN La varicela es una enfermedad de carácter benigno en la franja de los 5-9 años, que puede llevar asociadas complicaciones de importancia si se contrae en la edad adulta. La duración del período de incubación de la enfermedad es discutida. Algunos autores, como Fisher, sostienen que ésta se sitúa entre los 10 y los 21 días. Otros, como Bascones, la acotan entre los 14 y los 16 días. (2, 9) Las lesiones orales asociadas a la varicela presentan diagnóstico diferencial con la estomatitis aftosa recurrente, entre otras enfermedades, si bien las características clínicas en el resto del cuerpo permiten establecer el diagnóstico de varicela. Las lesiones asociadas no requieren tratamiento en la mayoría de los casos. La estomatitis aftosa recurrente (EAR) es considerada por muchos estudios como una posible característica clínica de la varicela. Sin embargo, existe un estudio reciente que no apoya la hipótesis del papel directo del VVZ en la patogénesis de EAR. Existe la teoría de que la varicela tiene consecuencias en el desarrollo de la dentición permanente, pudiendo dar lugar a defectos en el esmalte de la misma, si bien se trata de una hipótesis que requiere mayor investigación. El presente artículo ha expuesto un caso de hipomineralización del esmalte. En general los factores etiológicos de la hipomineralizción no se encuentran del todo definidos. (20) En el caso expuesto, la anamnesis practicada arroja la varicela como posible causa de la misma. No obstante, la revisión bibliográfica realizada ha encontrado muy pocos artículos relacionados. Se recomienda por tanto perseverar en la investigación de la posible relación causal entre varicela y defectos en el esmalte. CONCLUSIÓN La Varicela es una de las enfermedades víricas más frecuentes en los niños, por lo que es necesario conocer los signos y síntomas que producen a nivel general y también estar atentos antes las manifestaciones orales que aparecen; en concreto la hipomineralización incisivo-molar que puede estar implicada la Varicela como agente causal de la misma. Es fundamental que Médicos de Familia, Pediatras y Odontólogos traten de manera multidisciplinar a estos pacientes con Varicela, ya que sus manifestaciones clínicas no son sólo generales sino también presentan manifestaciones orales; que pueden necesitar un abordaje terapéutico precoz para tratarlos adecuadamente. BIBLIOGRAFÍA 1. Kolokotronis A, Louloudiadis K, Fotiu G, Matiais A. Oral manifestations of infections due to varicella zoster virus in otherwise healthy children. J Clin Pediatr Dent 2001;25(2):107-12. 2. Bascones A, Figuero E, Esparza G. Úlceras orales. Med Clin (Barc). 2005; 125(15): 590-7. 3. Lazarde L Janet, Arreaza I Alven, Lugo F María V, Osorio G Aura Y. Lesiones de varicela en cavidad bucal: reporte de un caso. Acta odontol. venez [revista en la Internet]. 2007 [citado 2014 Jul 20] ; 45(2): 283-286. Disponible en: http://www.scielo.org.ve/scielo.php?script=sci_arttext&pid=S0001-63652007000200031&lng=es 4. Papadopoulos AJ, Schwartz RA, Janniger CK. Chickenpox. Cutis. 2000; 65 (6): 1355-8. 5. Sapp JP, Eversole LR, Wysocki GP. Patología Oral y Maxilofacial Contemporánea. 1998. Harcourt Ed. Madrid. 6. Bascones Martínez A. Medicina bucal. 3ª ed. Barcelona: Ariel y Ediciones Avances; 2004. 7. Poulsen A, Cabral F, Nielsen J, Roth A, Lisse I, Aaby P. Growth, morbidity and mortality after chickenpox infection in young children in Guinea-Bissau. Journal of Infection. 2005;13:307-12. 8. Regezi JA, Sciubba JJ. Patología Bucal: correlaciones clinicopatológicas. México. 2000. Ed. McGraw-Hill. 9. Fisher RG, Edwars KM. Varicella Zoster. Pediatrics in Review. (1998); 19: 62-67. 10. Nee PA, Edrich PJ. Chickenpox pneumonia: case report and literature review. J Accid Emerg Med. 1999; 16(2): 147-50. 11. Arvin AM. Management of Varicella-Zoster Virus infections in children. Adv Exp Med Biol.1999; 458: 167-74. 12. Samonis G, Mantadakis E, Maraki S. Orofacial viral infections in the immunocompromised host. Oncol Rep.2000; 7(6): 1389-94. 13. Hartung J, Enders G, Chaoui R, Arents A, Tennstedt C, Bollmann R. Prenatal diagnosis of congenital Varicella syndrome and detection of varicella zoster virus in the fetus: a case report. Prenat Diagn.1999; 19(2): 163-6. 14. Sauerbrei A. Varicella Zoster virus infections in pergnancy. Inetervirology.1998; 41(4-5): 191-6. 15. Leung AK, Kao CP, Sauve RS. Scarring resulting from Chickenpox. Pediatric Dermatology. 2001; 18 (5): 378-380. 16. McCarry ML, Severson J, Tyring SK. Varicella Zoster Virus. Journal of the American Academy of Dermatology.1999; 41(1):1-14. 17. McIntyre GT. Viral infections of the oral mucosa and perioral region. Dent Update. 2001; 28(4): 181-6, 188. 18. Fenton SJ, Unkel JH. Viral infections of the oral mucosa in children: a clinical review. Pract Periodontics Aesthet Dent.1997; 9(6): 683-90; quiz 692. 19. García, L.; Martínez, eM. Hipomineralización Incisivo-Molar. Estado Actual. Cient Dent 2010;7;1:19-28. 20. Ferreira L, Paiva E, Ríos H, Boj J, Espasa E, Planells P. Hipomineralización incisivo-molar: su importancia en odontopediatría. odontol Pediátr 2005; 13: 54-59.
|