AVULSIÓN Y REIMPLANTE EN PACIENTEJOVEN: 15 AÑOS DE EVOLUCIÓN Arroyo S,(1) Martínez J(1),Brau E(2) and Berástegui E, DMD, PhD (2)(1) Profesor Asociado. Unidad de Endodoncia.Facultad de Odontología. Universidad de Barcelona. (2) Profesor. Unidad de Endodoncia.Facultad de Odontología. Universidad de Barcelona.Researcher of the IDIBELL Institute. Barcelona Correspondencia : Dra. Esther Berástegui Jimeno University of Barcelona.Department of Endodontics.School of Dentistry. FeixaLLarga s/n Hospitalet de Llobregat- 08097- Barcelona E-Mail: eberastegui@gmail.com Tel. +34600762729 Palabras clave: avulsión; exarticulación; trauma; dientes. Keywords: avulsion; exarticulation; trauma; tooth. RESUMEN:La avulsión dental es una de las consecuencias más graves de los traumatismos dentales. El tratamiento, siempre que sea posible, es urgente y el factor tiempo es muy importante en el pronóstico del reimplante del diente avulsionado. Las condiciones en las que se mantiene el diente avulsionado hasta el reimplante son también fundamentales en el éxito del tratamiento. En el caso clínico que se presenta, el reimplante se realizó transcurridas 72 horas y el diente permaneció seco entre 0 y -5 ºC. La evolución del caso fue favorable a pesar de las condiciones adversas realizando controles a los 15 años del reimplante con éxito. La Asociación Internacional de Traumatología Dental (IADT) ha elaborado un documento de consenso después de una revisión de la literatura dental. ABSTRACT: The Dental avulsion is one of the most serious consequences of dental trauma. Treatment, whenever possible, it is urgent and the time factor is very important in the prognosis of replantation of the avulsed tooth. The length of time and conditions under which the tooth is maintained until reimplantation is fundamental for a successful treatment. In the clinical case presented, the reimplantation was performed after 72 hours and the tooth remained dry between 0 and -5 ° C. The evolution of the case was favorable despite the adverse conditions in it was made. The controls, 15 years after, show a successful reimplantation. The International Association of Dental Traumatology (IADT)has developed a consensus statement after a review of the dental literature. INTRODUCCIÓN La avulsión dental es una consecuencia frecuente de los traumatismos dentales . La mayoría de las veces sucede en pacientes en edades comprendidas entre los 7 y 14 años siendo los incisivos centrales superiores los dientes más afectados. Las consecuencias que este traumatismo puede tener sobre el propio diente avulsionado ylos tejidos periodontales depende fundamentalmente de la conservación del diente en medio húmedo o seco y del tiempo transcurrido hasta el reimplante . El reimplante del diente avulsionadoes la opción terapéutica ideal . Si las células del ligamento periodontal quedan adheridas a la raíz del diente avulsionado y éste es mantenido hidratado y el reimplante se realiza en la primera hora las posibilidades de éxito son altas . Por el contrario si el diente avulsionadoha permanecido más de una hora fuera de un medio líquido adecuado tiene un pronóstico malo a largo plazo. La evolución puede ser la reabsorción radicular inflamatoria o por reemplazamientoy la anquilosis dental. A pesar de ello el reimplante puede estar igualmente indicado por razones psicológicas, estéticas, funcionales y de mantenimiento del hueso alveolar, especialmente en pacientes en crecimiento . Sin embargo en paciente joven en el que el reimplante se realiza antes de finalizar el crecimiento del hueso y si se produce unaanquilosis, el diente podrá quedar en infraoclusión, debido a la falta de crecimiento del hueso en sentido vertical.
CASO CLÍNICO Paciente de diez años que acude a consulta de urgencias por haber sufrido un accidente deportivo 72 horas antes y como consecuencia del cual presentaba avulsión del incisivo central superior izquierdo 2.1.La familia guardó el incisivo en el congelador doméstico y acudió en esta situación a la clínica dental, pasadas 72 horas desde el traumatismo. Se exploró al paciente no apreciando fracturas óseas ni de otros dientes (Figura 1), se evaluó el diente avulsionado no apreciando fractura radicular ni coronal (Figura 2). Se exploró la zona alveolar no apreciando fracturas en las paredes del hueso alveolar. Después de obtener datos en la exploración clínica y debido a la edad del paciente se decidió realizarel reimplante.Tras la anestesia infiltrativa con lidocaina sin vasoconstrictor, selavó el diente avulsionado con suero fisiológico y se comprobó la adaptación del diente al alveolo.Se realizó el tratamiento de conductos en mano(Figura 3),y se eliminó el tejido pulparnecrótico y la posible contaminación bacteriana del mismo. La preparación quimio-mecánica se realizó con técnica manual, irrigando el conducto con hipoclorito sódico al 5% después de cada lima instrumentando hasta el número 30 con latécnica de step-bachy obturando con gutapercha y cemento Sealapex® (Kerr/Sybron, Romulus, MI EEUU).Posteriormente se realizó el reimplante del diente en el alveolo y la ferulización con alambre de ortodoncia y adherido con composite (Figura4).Se realizó una radiografía periapical de control (Figura5); citando al paciente para control en una semana. A las tres semanas se retiró la ferulización(Figura 6) y se realizó otra radiografía periapical (Figura7).Se realizaron controles clínicos al mes y seis meses, en los que no se apreció cambios en la evolución clínica. Tres años después a la exploración se apreció asimetría incisal atribuible a la detención dela erupción del 2.1, con limitación del crecimiento vertical(Figura8). Se observó los bordes incisales a distinta altura de los dientes 1.1 y 2.1, que son consecuencia de la anquilosis dental del 2.1 por lo que se aconsejóla erupción ortodóntica del 2.1 pero que el paciente no aceptó.El paciente permaneció sin síntomas inflamatorios. Diez años después de realizado el reimplante la radiografía periapical(Figura 9), muestra la reabsorción por sustitución y anquilosis dental como evolución del reimplante.En la exploración clínica el 2.1 presenta un retraso en la erupción, por la falta de crecimiento óseo vertical, con la consiguiente inclinación mesial del 1.1. El 2.1 presenta una restauración estética del borde incisal que fue realizada a los siete años del reimplantepara intentar mejorar la estética del paciente.A los quince años la radiografía periapical del reimplante (Figura 10), no muestra signos de inflamación activa, pero se puede observar la pérdida del contorno radicular en la zona media de la raíz en la cara distal; lo que indicaría la reabsorción radicular con aposición ósea posterior. DISCUSIÓN La educación de la población ante traumatismos dentales juega un papel muy importante a la hora de actuar en el lugar del accidente, especialmente en avulsiones dentales , lo que mejoraría el pronóstico de estos traumatismos. El tratamiento de un paciente que ha sufrido avulsión dental es largo y suele requerir un tratamiento multidisciplinario por lo que la colaboración del paciente y su familia es imprescindible , .En un reimplante tardío la evolución hacia la anquilosis es muy frecuente, siendo el factor más importante el tiempo en que el diente ha permanecido seco . En pacientes en crecimiento,la anquilosis, conlleva la falta de desarrollo óseo en sentido vertical, por lo queFillippi y cols. proponen que ante los primeros signos de anquilosis debemos recolocar el diente y recubrirlo con Emdogain, presentando algunos casos con buenos resultados en los que la anquilosis se detuvo. Tropeycols(6)aconsejan la sección de la corona y su extracción en los casos en los que aparezca anquilosis e infraoclusión de 2mm, dejando la raíz enterrada en el hueso para ser sustituida por éste y así poder favorecer el crecimiento vertical y posibilitar un mejor resultado estético definitivo.Ante la presencia de anquilosis en pacientes en crecimiento debemos actuar y no dejar el caso a su evolución natural puesto que el problema final será de más difícil solución(6). Es importante tener en cuenta que el autotransplante, generalmente con premolares, es una opción terapéutica de resultados predecibles , especialmente en pacientes en crecimiento que han perdido hueso y/o dientes en los que el reimplante no se pueda realizar o bien no vaya a tener resultados exitosos. El autotransplante mantiene el espacio dental, remodela el hueso alveolar y favorece el crecimiento óseo(10), por lo que funcional y estéticamentese puede obtener un resultado predecible. La sustitución de dientes perdidos por avulsión dental suele realizarse mediante la colocación de implantes dentales , lo que implica mantener al paciente durante varios años con soluciones provisionales hasta obtener el crecimiento definitivo del maxilar , alrededor de los 20 años de edad. En ocasiones a pesar de haber realizado tratamientos multidisciplinariosparamantener el espacio y los tejidos óseos y mucosos del diente perdido, a la hora de realizar el tratamiento definitivo con implantes dentales, no se puede obtener un buen contorno alveolar y altura ósea , ,lo que ocasiona un problema estético de difícil tratamiento. CONCLUSIÓN La avulsión dental tiene como consecuencia la probabilidad de la no supervivencia o la pérdida del ligamento periodontal. El paciente que está en crecimiento el pronóstico es desfavorable dado que las complicaciones son frecuentes. Se justifica el reimplante del caso por la edad del paciente y para posponer decisiones a una edad adulta. En el caso aquí presentado dada la evolución favorable no fue necesario el implante dental en el control realizado a los 15 años. La infraoclusiónpor anquilosis del diente reimplantado,se solucionó con restauración estética. BIBLIOGRAFÍA Bastone EB, Freer TJ, McNamara JR. Epidemiology of dental trauma: a review of the literature. Aust Dent J. 2000;45:2-9. Wriedt S, Martin M, Al-Nawas B, Wehrbein H. Long-term effects of traumatic injuries to incisors and periodontal tissuesduring childhood. J OrofacOrthop. 2010;71:318-29. Flores MT, Andersson L, Andreasen JO, Bakland LK, MalmgrenB, Barnett F et al. Guidelines for the management of traumatic dental injuries. II. Avulsions of permanent teeth.Dent Traumatol. 2007;23:130-6. .Andersson L, AndreasenJ O, Day P, Heithersay G, Trope M, Diangelis AJ, Kenny DJ, Sigurdsson A, Bourguignon C, Flores MT, Hicks ML, Lenzi AR, Malmgren B, MouleAJ,Tsukiboshi M. International Association of Dental Traumatology guidelines for the management of traumatic dental injuries: 2. Avulsion of permanent teeth.Dent Traumatol. 2012; 28: 88-96. Trope M. Avulsion of permanent teeth: theory to practice. Dent Traumatol. 2011;27:281-94. Hecova H, Tzigkounakis V, Merglova V, Netolicky J. A retrospective study of 889 injured permanent teeth. Dent Traumatol. 2010;26:466-75. MonaAl-Sane, Bourisly N,TaghreedAlmulla, Andersson L. Laypeoples preferred sources of healthinformation on the emergency management of tooth avulsión.Dent Traumatol. 2011; 27: 432-7. Maseng AL,Skaare AB. Management of a 9-year-old boy experiencing severe dental injury - a 21- year follow-up of three autotransplants: a case report. Dent Traumatol. 2011; 27: 468-72. DiAngelis A J and cols. International Association of Dent Traumatol guidelines for the management of traumatic dental injuries: 1. Fractures and luxations of permanent teeth. Dental Traumatol.2012; 28: 2-12. Savi A. Central incisor loss after delayed replantation following avulsion: a contemporary restorative and adjunctive orthodontic management approach. Dent Traumatol. 2012; 28: 161-165; Day PF, Gregg TA,Ashley P,Welbury RR, Cole BO, High AS, Duggal MS. Periodontal healing following avulsion and replantation of teeth: a multi-centre randomized controlled trial to compare two root canal medicaments.Dental Traumatol.2012; 28: 55-64. Fillippi A, Pohl Y, Von Arx T. Treatment of replacement resorption by intentional replantation, resection of the ankylosed sites, and Emdogain - results of a 6-year survey. Dent Traumatol. 2006;22:307-11. Andreasen JO, Schwarts O, Kofoed T, Daugaard-Jensen J. Transplantation of premolars as an approach for replacing avulsed teeth.Pediatr Dent. 2009;31:129-32. Anchieta RB, Rocha RP, Watanabe MU, De Almeida EO, Freitas-Junior AC, Martini AP, Barioni SRP. Recovering the function and esthetics of fractured teeth using several restorative cosmetic approaches. Three clinical cases.Dental Traumatol.2012; 28: 166-172. Zachrisson BU. Planning esthetic treatment after avulsionof maxillary incisors. J Am Dent Assoc. 2008;139:1484-90. Koh RU, Rudek I, Wang HL. Immediate implant placement: positives and negatives. Implant Dent. 2010;19:98-108. Jung RE, Pjetursson BE, Glauser R, Zembic A, Zwahlen M,Lang NP. A systematic review of the 5-year survival and complication rates of implant-supported single crowns. Clin Oral Implants Res.2008;19:119-30. Freitas Junior AC, Goiato MC, Pellizzer EP, Rocha EP,Almeida EO. Aesthetic approach in single immediate implantsupportedrestoration. J Craniofac Surg.2010;21:792-6. Figuras
 Figura 1. Fotografía de la situación clínica inicial, en la que se aprecia la ausencia del 2.1 y el alveolo sin desgarros.
 Figura2.Fotografía del diente 2.1 avulsionado.
 Figura3. Tratamiento de endodoncia realizada en la mano del 2.1.
 Figura 4.Fotografía del diente 2.1 reimplantado y ferulización con alambre de ortodoncia.
 Figura5. RX periapicaldel 2.1 inmediata al reimplante.
 Figura 6.Fotografía intraoralde la zona avulsionada después de retirada la ferulización a las tres semanas.
 Figura 7. RX periapicaldel diente avulsionado 2.1a las tres semanas del reimplante.
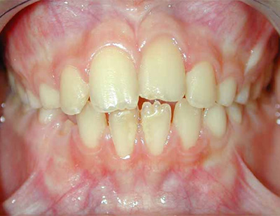
 Figura 8. Fotografía intraoral donde se aprecia el incisivo 2.1 a los tres años del reimplante.
 Figura 9. Rxperiapicaldel incisivo 2.1 a los tres años del reimplante.  Figura 10. Rxperiapical a los quince años del reimplante donde se aprecia reabsorción por sustitución y anquilosis.
|